金秋时节,中秋团圆遇上国庆长假,亲友聚餐、旅行打卡、特色美食轮番登场,是一年中最欢乐也最“放纵”的时刻。然而,节日餐桌上的高油高糖、加上频繁举杯,常让脂肪肝、肥胖、血糖波动等健康问题悄然找上门。北京佑
每到换季总觉得身体像灌了铅,直到遇见楼下张阿姨那锅冒着热气的祛湿汤。不是药膳馆里苦涩的汤药,而是冬瓜、薏仁和老姜在砂锅里咕嘟的模样,活像三个配合默契的清洁小分队。 一、祛湿界的"黄金三角" 去年梅雨季
股骨头坏死早期最佳治疗办法-李氏三联法 针对股骨头坏死的早期治疗,李氏三联法为患者提供了一种有效的保守治疗方案。此方法融合了现代医学与传统中医智慧,通过靶点注射中成药、口服中药,以及系统的康复锻炼,
随着社会节奏加快,职场竞争、学业压力、家庭关系等多重因素交织,焦虑、抑郁、睡眠障碍等心理问题的发生率逐年上升,寻求专业医疗机构的帮助成为越来越多人的选择。在西安,医疗资源丰富且诊疗体系完善,其中西安脑
提到洛神花,你的第一反应是什么?是夏日里一杯酸甜的洛神花茶,还是餐桌上那抹艳丽的红色点缀?其实,这种看似普通的植物,可能还隐藏着一项令人惊叹的健康潜力——抗炎!最近发表在《食品科学与营养》期刊上的一项
很多上了年纪的人,平时吃饭的时候都会觉得米饭太硬,反而更喜欢面食,像是馒头、面条、包子、白面包这些东西,入口软糯,咀嚼起来省力,消化也快。 尤其是七十岁之后,牙口不好,咀嚼力下降,很多人就几乎每天都离
第一道 高蛋白低脂肪番茄豆皮掉秤汤 1、先把番茄切小块,豆皮切成丝。 2、锅中喷油,打入2个香喷喷的土鸡蛋,炒熟备用。 3、接着番茄炒出沙,放入豆皮和炒好的鸡蛋,加入清水调味,放生抽、陈醋一点点盐,盖
“明明三餐规律,却总胃胀反酸?”“体检报告上的C13阳性,是得了胃癌吗?”在消化科门诊,这样的疑问每天都在上演。有一种细菌,它悄悄潜伏在50%中国人的胃里,可能引发胃炎、胃溃疡,甚至与胃癌密切相关——
张大妈今年刚满56岁。入秋一段时间后,总觉得口干舌燥、喉咙发痒,饭菜无味,晚上睡觉也常常辗转反侧。这天和邻居唠嗑时,张大妈偷偷问:“是不是秋天容易上火,怎么身体这么不舒服?”邻居小李没等她说完就接话:
明明累得不行,躺到床上,却脑子静不下来,想来想去,怎么也睡不着。或者白天总觉得手脚发凉,脸上偶尔冒出几颗痘,喉咙也老是发干?这或许就是我们平时所说的“气血运行不太顺畅”。今天,木子跟大家讲一个简单的小
提到胃癌治疗,很多人第一反应是手术、放化疗,却容易忽略中医的作用。对此,成都普济中医李久泉主任表示,其实中医并非要 “替代” 西医,也不是直接 “杀灭” 癌细胞,而是从整体调理入手,帮胃癌患者扛住治疗
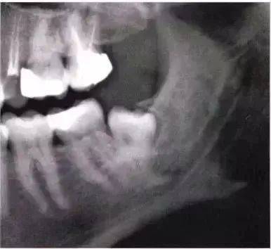
远中倾斜第三磨牙 第Ⅰ类 第Ⅱ类 第Ⅲ类 手术的难易程度主要取决于骨的因素。手术的难度随埋伏深度的增加而增加。第Ⅰ、Ⅱ及第Ⅲ类阻生牙与第二磨牙和下颌升支之间的距离相对应。 部分远中阻生的左下颌第三
来源:安徽城市之声 很多人都知道“吃头孢不能喝酒” 但除了头孢以外 喝酒还会放大多种药物的副作用 服用哪些药物前后不能喝酒? 一起了解 01 吃了这几种药,酒万万喝不得 一般情况下,只要在吃药,就应尽
膝盖疼痛的真凶竟是糖尿病?别让隐形伤害拖垮你的行动力! 膝盖疼痛是不是你的常见困扰?别急着把它归咎于衰老或体重问题,糖尿病可能是背后的“隐形杀手”。很多糖尿病患者并未意识到,膝关节疼痛可能是糖尿病并发
人到中年,身体机能逐渐发生变化,肾脏的健康养护尤为重要。合理的饮食是养肾补肾的关键一环,今天就为中年男性朋友们带来八道养肾好菜及其详细做法,让您吃得健康,身体更精神。 蒜苔炒牛肉 食材: 牛肉、蒜苔
肉是日常饮食中优质蛋白质的重要来源,其含有的“完全蛋白质”,既能够维持人体健康,又能够促进生长发育。但常听人说“红肉”“白肉”,二者到底有什么区别呢?该如何选择? 先分清:什么是红肉?什么是白肉?
脑血管病致残率高,脑部疾病会引发精神、运动、感觉等功能障碍,进而导致患者智力低下、肢体瘫痪甚至大小便失禁等功能障碍,因此脑健康至关重要。脑部疾病是指因遗传、先天性脑发育不全、脑外伤、脑肿瘤、脑出血、脑
9月28日是世界心脏日,提醒我们再次聚焦心脏健康。冠心病,作为全球导致死亡和残疾的主要原因之一,正悄悄地威胁着无数人的生命。它并非老年人的“专利”,越来越多的中青年人也被卷入风险之中。了解冠心病的成因
一场秋雨一场凉。 进入十月,气温逐渐降低,昼夜温差大,各种细菌病毒开始“粉墨登场”。又迎来国庆中秋假期,大家旅游出行,也容易让一些季节性高发传染病等钻了空子。江苏疾控再此提醒大家,需重点防控: 1.
说一个人是穷人,不是歧视他,而是一个口袋脑袋都匮乏的人,他身上容易有一种属于这个群体的很不好的人性,而他被这个不好的东西支配,形成了他的有缺陷的价值观,和这样的人接触、亲近、交往,会被他们伤害。 什