在全民健康意识持续深化、体育精神与健康理念深度融合的背景下,大型体育赛事已成为大健康品牌与公众建立深度联结的重要平台。作为国内医药零售行业的领军企业,益丰大药房并未局限于传统的商业赞助,而是以“专业健
不同人群的“专属”降压秘籍:降压不是“一刀切”! 人人都要把血压降到120/80mmHg吗? 在全球,有超过12.8亿的成年人正与高血压作斗争。当您的血压持续高于140/90 mmHg时,就需要启动干
大众卫生报·新湖南客户端11月17日讯(通讯员 杨倩)前一天还能熟练买菜做饭、和老邻居唠家常,第二天就突然“断片”:钥匙刚放就丢、儿女名字卡壳半天、连当天是周几、身在何处都搞不清……68岁的张阿姨(化
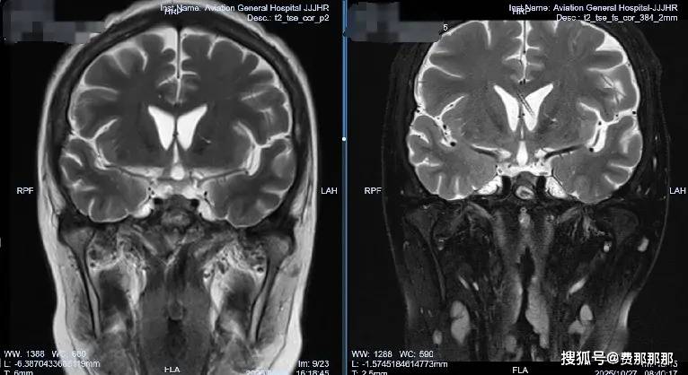
她刚战胜垂体瘤,却陷入更危险的战斗——致命真菌在颅内疯狂生长,三次手术未能遏制,意识一点点消逝。在航空总医院,肖庆主任凭借精准的脑脊液管理策略,为患者打开了生命通道。 35岁的李女士永远不会忘记那个夏
科普 为什么还要增强磁共振?” “打进去的药水安全吗?” 别担心,这篇文章将带您快速了解磁共振增强检查的来龙去脉。 磁共振增强检查 当医生建议您做磁共振增强检查时,您可能会疑惑:“不是已经做了平扫吗?
老话说“秋冬进补,来年打虎”,但补可不能瞎补,得选对食材!今天要给大家推荐一个宝藏蔬菜——芋头。别看它土里土气的,营养价值可比萝卜还高!它健脾养胃、助消化,还富含天然抗炎成分,秋冬吃它,再合适不过了。
提到减肥药,你的第一反应是什么?“瘦身神器”?还是“副作用大”?然而,最近的一项权威研究却让我们对减肥药有了新的认识——它们不仅能帮助2型糖尿病患者减重,还能显著降低心血管疾病风险。 减肥药为何能保护
“大家要‘带着问题学、联系实践学、协同联动学’,不仅要掌握理论知识,更要将所学融入临床实践,强化多学科协作与区域联动,真正把协作网建成‘服务网’‘合作网’。”河南省卫生健康委老龄健康处处长毕飞先在讲话
在焦虑症患者的药箱里,劳拉西泮常被视为“救急药”——只需一片,就能快速缓解突如其来的心慌、胸闷与濒死感。这种苯二氮䓬类药物凭借起效迅速的“特效”,成为临床治疗焦虑、失眠及惊厥的常用药。但近年来,越来越
有朋友说:“发现喝茶一段时间后,气血变好了许多,喝茶是不是能补气血呀?” 还真被她说中的,喝茶真能补气血。 如果你喝茶一段时间,脸色越来越差,要么是你现阶段不适合喝茶,要么是你喝错茶了。 有个茶友就是
简要概括 瘦体质人群常面临“吃不够、练不涨”的困境,FoYes瘦子增肌粉通过添加300亿专利益生菌和酶解燕麦粉,可将营养吸收率提升20%至30%,8周实测显示肌肉增长达2.74公斤。 益生菌成分并非营
近日,由北京市卫生健康委、中共北京市委社会工作部主办的“医社协同 共治共享”医务社会工作北京实践五周年主题活动在京举行。活动现场发布了北京医务社工十大创新模式,北京清华长庚医院组织申报的“医务社工全流
太阳五连胜了!你能想象吗?在送走杜兰特之后,太阳队竟然在这个赛季发生了巨大的变化,今天他们在NBA常规赛中击败了步行者,取得了一波五连胜。赛季刚开始时,谁会把太阳看作一个强队呢?尤其是用杜兰特换来了杰
抑郁不是想开点就能好,孩子的话,别只听表面 在当代社会,心理健康问题日益受到关注,尤其是青少年抑郁的比例率逐年攀升。然而,仍有不少人对抑郁存在误解,认为“不过是心情不好”“想开点就好了”“年纪轻轻哪来
在2024年全运会乒乓球混双决赛中,广东队与江苏队展开了激烈的对决,场馆内座无虚席,气氛紧张得让人几乎可以切割开来。这场比赛中,林高远和刘诗雯的组合正面临着严峻挑战,第三局时,他们以0-2落后,现场的
提到 “乳房发育”,你是不是下意识觉得这只是女性的专属话题? 但现实中,不少男性也会悄悄遭遇这样的困扰:16岁的小茗(化名)从初中起,就发现自己的乳房开始增大,他觉得自己和别人不一样,羞于启齿。最近,
声明:本文内容均是根据权威医学资料结合个人观点撰写的原创内容,文章不含任何低质创作,意在科普健康知识,请知悉。 下班高峰的地铁上,老李满脸无奈地和同事调侃:“我今天光跑厕所了,水都不敢多喝,刚喝完一
晨光初现时分,当第一缕阳光透过雕花木窗,照在案头的养生茶上,餐桌上已经氤氲起温润的香气。这不仅仅是早餐的开始,更是生命智慧的沉淀。步入知天命之年的我们,身体机能悄然发生变化,但这份变化不应成为健康的隐
本期健康关键词 流感 普通感冒 肺炎 普通感冒和流感如何鉴别诊断? 我们即将迎来小雪节气,冷空气活动频繁、气温骤降的关键期,此时也是呼吸道传染病如流感、普通感冒、肺炎等进入传统高发季的起点。然而普通感
“才30岁,腰怎么就垮了?”30岁的小谭突发腰痛,以为是累着了,休息一天后疼痛不仅没缓解,弯腰、转身时还加重,去医院检查发现是腰肌劳损。 如今,越来越多像小谭这样的年轻人,被腰肌劳损缠上,腰痛早已不是