孕囊多少mm可以做药流,一般而言,孕囊在0.5-2.5厘米之间适合做药物流产。这时候可能怀孕的时间是在35-49天之间。如果孕囊太小,激素水平比较低,对药物的敏感性比较差,容易造成不全流产。但如果胎囊
世上最幸福的事情之一,莫过于两情相悦。 然而,现实常常事与愿违,总会有无数为爱冲锋陷阵的勇士,始终执着地认为对方就是那个有情人。殊不知,自己在一厢情愿的路上越走越远了。幡然醒悟回头时,才发觉早已遍体鳞
声明:本文根据权威资料结合个人观点撰写,为原创内容,文末已标注文献等相关信源,在今日头条全网首发72小时,文章不含任何虚构情节和“艺术加工”,无任何虚构对话,本文不含任何低质创作,旨在更加趣味性的科普
“医生,我最近自己解决的时候,没几下就...结束了,网上都说我这是废了,真的吗?” 诊室里,25岁的小陈满脸焦虑地坐下,手指无意识地绞在一起。看着他紧张的样子,我轻轻叹了口气——这已经是今天第三个因为
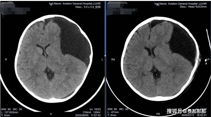
蛛网膜囊肿是儿童常见的先天性颅内病变,传统治疗需开颅手术或依赖分流管植入,但终生带管可能引发感染、梗阻等并发症。近日,北京航空总医院神经外四科肖庆主任团队通过“软性神经内镜技术”,成功为一名4岁复杂蛛
张爱玲在《红玫瑰与白玫瑰》中写道:"娶了红玫瑰,久而久之,红的变了墙上的一抹蚊子血,白的还是'床前明月光'。" 但现代情感心理学发现,男性真正决定放弃时,往往不会大张旗鼓地断联,而是用更隐蔽的方式撤离
最新通报显示,截至7月23日,广东省佛山顺德区、南海区、禅城区、三水区累计报告基孔肯雅热确诊病例3642例,均为轻症。24日,@广州日报 记者探访基孔肯雅热定点收治医院——顺德区第三人民医院(北滘医院
银屑病,也就是我们常说的牛皮癣,是一种慢性皮肤病,困扰着全球数千万人。它不仅影响患者的皮肤健康,还可能对心理和社交生活造成严重影响。那么,银屑病究竟能否被治愈?它的病因又是什么?让我们从一个真实病例说
声明:本文根据权威资料结合个人观点撰写,为原创内容,文末已标注文献等相关信源,在今日头条全网首发72小时,文章不含任何虚构情节和“艺术加工”,无任何虚构对话,本文不含任何低质创作,旨在更加趣味性的科普
刚拿到浙江大学最新的癌症研究报告,我震惊了!原来我们每天都在和癌症"约会"!身体内的细胞每天分裂上亿次,只要有一次出错,就可能成为癌细胞的起点。 这就像一场没有硝烟的战争, 我们的身体不断与潜在的癌
拿到肝功能报告,一堆箭头(↑↓)看得人心里发毛:“转氨酶高了是不是肝坏了?”“胆红素异常是不是得肝炎了?”其实很多时候是自己吓自己。今天用大白话把报告里的关键指标、常见问题说清楚,以后再看报告心里就有
声明:本文根据权威资料结合个人观点撰写,为原创内容,文末已标注文献等相关信源,在今日头条全网首发72小时,文章不含任何虚构情节和“艺术加工”,无任何虚构对话,本文不含任何低质创作,旨在更加趣味性的科普
痉挛性斜颈是一种以颈部肌肉不自主收缩导致头部歪斜为特征的神经系统疾病,合理饮食虽不能直接治愈疾病,但能为身体提供充足营养,减轻不适症状,辅助维持病情稳定。 补充优质蛋白与维生素是饮食核心。患者需摄入
作为临床常用的活血化瘀中成药,身痛逐瘀丸不少人家里常备,但真正用对的却不多。今天就从适用时机、疗效判断、不良反应等方面,一次性讲清这款药的正确打开方式。 一、这3种情况用它才对症,别瞎吃 身痛逐瘀丸源
胃癌作为一种严重威胁人类健康的恶性肿瘤,其治疗一直是医学界关注的重点。在胃癌的治疗方案中,中药发挥着独特的作用,为患者带来了新的希望。 从中医理论来看,胃癌的形成与人体气血、阴阳、脏腑功能的失调密切
得了甲亢或甲减,按时吃药本以为能稳定病情,可指标却像坐过山车一样忽上忽下,反复无常。别着急,今天就来聊聊那些容易被忽视的细节,正是它们在影响治疗效果。 一、药物服用细节没把控好 服药时间不固定:甲状
作为家长或教育者,我们时常会遇到这样的情况:孩子对于做事常表现出抗拒,甚至反感参与任何安排或活动。无论是家务、学习还是社会活动,孩子似乎总是处于对抗状态。然而,如何帮助孩子从一个对抗者转变为一个积极参
1. 间隔时间需24小时: 24小时内换服其他药物,可能增加副作用风险。 2. 务必咨询医生: 更换PDE5抑制剂前,必须告知医生近期用药史(包括 他 达 拉 非),遵医嘱调整剂量或确认安全间隔时间(
小细胞肺癌患者治疗期间或康复期出现体重下降、消瘦,常引发对疾病复发的担忧。这一症状虽需警惕,但并非复发的唯一指征,其成因复杂,涉及治疗副作用、营养代谢失衡及肿瘤进展等多重因素,那么小细胞肺癌消瘦是不是
“天天吃素血脂还是高?" “喝了一年的茶,胆固醇纹丝不动?" 如果你也为降血脂苦恼过 很可能已经掉进了这些常见谣言的陷阱! 今天, 我们就来扒一扒 那些关于降血脂的“伪科学" 让你不再被忽悠 真正掌