声明:本文内容均是根据权威医学资料结合个人观点撰写的原创内容,在今日头条全网首发72小时,文末已标注文献来源及截图,文章不含任何虚构情节和“艺术加工”,无任何虚构对话,本文不含任何低质创作,意在科普健
声明:本文根据权威资料结合个人观点撰写,为原创内容,文末已标注文献等相关信源,在今日头条全网首发72小时,文章不含任何虚构情节和“艺术加工”,无任何虚构对话,本文不含任何低质创作,旨在更加趣味性的科普
为了减肥,许多人选择节食,因为大众普遍认为这是一种见效较快的手段。然而,节食减肥常常会对身体造成诸多负面影响。 清代医家陈士铎在《石室秘录·肥治法》中有言“肥人多痰,乃气虚也。虚则气不能营运,故痰生之
黄帝去世后整整一千年,才迎来了夏朝的建立,这段时间是中国历史上一个充满变迁、探索与演化的重要阶段。尽管历史资料相对有限,通过考古学的发现和研究者的深入探讨,我们能够对这一时期的情况有一个大致的了解。
本文内容由先锋鸟血糖管理软件提供!帮您记录血糖、血压等健康指标,提供无糖食品免费试吃,以及定制饮食运动计划,陪伴您一起控糖。 对于糖尿病患者而言,运动如同一把 “双刃剑”,科学合理的运动能有效控制
在当今这个快节奏、高压力的社会中,很多中小学生家长面临着种种压力和挑战,教育焦虑也成为一种普遍的社会现象。 研究显示,家长对于孩子的教育焦虑聚焦学业,成绩、习惯态度、升学择校依次为焦虑“重灾区”。焦虑
声明:本文根据权威资料结合个人观点撰写,为原创内容,文末已标注文献等相关信源,在今日头条全网首发72小时,文章不含任何虚构情节和“艺术加工”,无任何虚构对话,本文不含任何低质创作,旨在更加趣味性的科普
类风湿关节炎是一种自身免疫病,以侵蚀性关节炎为主要特征,其病理基础是滑膜炎。发病初期的表现通常为关节晨僵、肿胀、疼痛等。最后可导致关节畸形、丧失关节功能。 很多类风湿关节炎患者吃饭少、不规律,平时也
每个人都渴望被理解、被接纳。 当我们真心对待一个人时,我们希望对方也能以的真诚回应。 有时候我们会发现,原本亲密的关系渐渐变得疏远,曾经的温暖与关怀仿佛一夜之间消失不见。 这种变化让人感到困惑和失落,
是不是总觉得不发火,孩子就不听话?这是因为孩子缺乏契约精神。 契约精神和发脾气管孩子可大不一样,前者是让孩子承担后果,后者只是让孩子害怕或内疚,还容易伤害亲子关系。 怎么培养孩子的契约精神呢?记住“
#情绪化饮食(Emotional Eating) 人们在情绪波动时,特别是在感到焦虑、压力、孤独、愤怒或抑郁时,寻求食物的安慰,甚至在没有生理饥饿感的情况下,也会不自觉地进食。这种行为往往是在无意识的
你是否也常常在饮食中纠结碘的摄入量?多吃一口海带,担心碘超标;少吃点碘盐,又害怕缺碘。碘这种微量元素,与我们的甲状腺健康紧密相连,摄入过多或过少都可能引发健康问题。今天,咱们就深入探讨一下,碘的摄入“
声明:本文根据权威资料结合个人观点撰写,为原创内容,文末已标注文献等相关信源,在今日头条全网首发72小时,文章不含任何虚构情节和“艺术加工”,无任何虚构对话,本文不含任何低质创作,旨在更加趣味性的科普
在长沙江湾妇产医院生殖医学中心门诊,经常能看到这样的场景——医生看着患者的检查报告,语气急切地说:“尽快做试管吧,别再等了!” 这让很多人感到疑惑,为什么医生总是催促尽早做试管呢?年龄和时间究竟对试管
当闹钟响起的那一刻,王先生习惯性地伸手去够床头柜上的降压药。这个持续了十多年的动作几乎成为了他生活的一部分。 王先生对自己的高血压病情感到无奈。直到他在一次医学讲座上听到葛均波院士的观点,才彻底改变
“小满小满,江河渐满”,不知不觉小满节气就要到了,它是二十四节气中的第8个季节,也是夏季的第二个节气,小满到了后降雨量逐渐增多,江河湖水也渐渐水势上涨。 小满降雨增加后,加上太阳温度高,夏天的闷热感
小细胞肺癌(SCLC)是一种侵袭性最强、致死率最高的肺癌亚型,约占肺癌病例的14%,全球每年约25万人患病,死亡高达20万。80-85%的患者在就诊时既已出现广泛转移,因此,以铂类药物为主的化疗是SC
老师你好: 女人想要知道你在男人心里的位置重不重要。其实看男人的实际表现就行了。但具体该如何去判断呢?对于这个问题,老师是如何看待的,希望得到你的解答。 你的粉丝 阿音 阿音: 感情的事情,自己要认
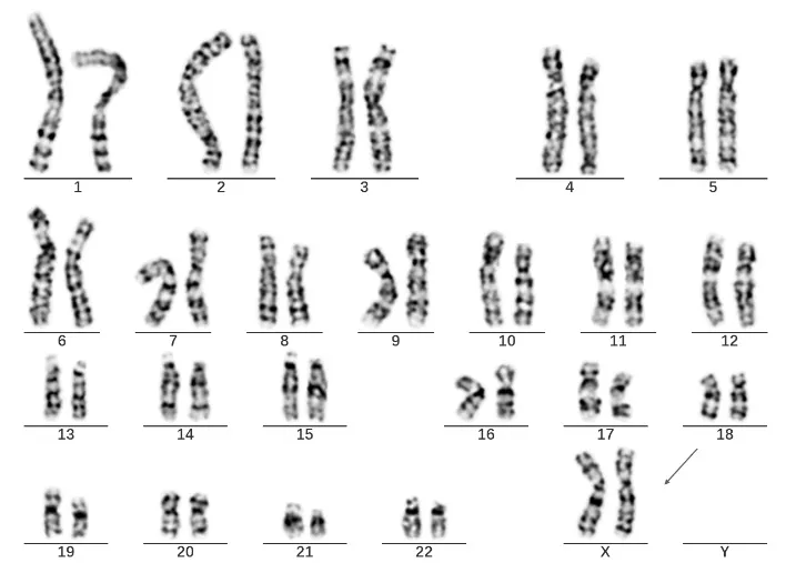
神秘的染色体嵌合现象 产前检查提示胎儿外生殖器发育异常,羊水穿刺产前诊断染色体核型分析发现胎儿染色体检测结果为46,XX[21]/46,XY[9]!这是什么意思呢?这说明胎儿身体里存在两种不同的染色体