疾病概述与临床特征
日常生活中存在"你脑子有泡吧"的调侃说法,但从医学角度而言,人脑内确实可能出现类似"水泡"的结构——胶样囊肿。胶样囊肿并非真性肿瘤,而属于罕见的先天性发育异常。
其囊壁结构由外层纤维组织和内层上皮组织构成,上皮内含纤毛细胞或分泌黏蛋白的细胞。肉眼观察下,胶样囊肿形态类似乳白色、去壳的荔枝。绝大多数胶样囊肿位于第三脑室前部,生长于两侧穹窿柱之间。正是由于这一特殊位置,即使体积较小,也容易阻塞脑脊液循环通路,引发梗阻性脑积水。如不及时处理,严重情况下甚至可能导致猝死。
下图展示神经内镜术中实拍——一枚即将被切除的胶样囊肿,形态圆润,确实类似脑内的"水泡"。

手术治疗方式的历史争议
数十年来,关于第三脑室胶样囊肿的最佳手术方案一直存在学术争议。传统显微外科手术与神经内镜手术均被视为安全有效的治疗选择。尽管内镜手术仅需单一骨孔、创伤更小,但既往研究多认为其全切除率低于显微手术,复发风险可能相应增加。
那么,内镜手术确实无法实现高全切率吗?以下真实病例或许能提供新的启示。
临床病例分享
病例基本情况
INC通过微创骨孔,成功取出胶样囊肿。一名55岁男性患者因进行性行走障碍与记忆力减退就诊,影像学检查提示脑积水。头部磁共振成像(MRI)进一步明确诊断为第三脑室胶样囊肿伴梗阻性脑积水。由世界神经外科学会联合会(WFNS)内镜委员会前主席Henry W. S. Schroeder(施罗德)教授主刀,为该患者实施神经内镜下第三脑室胶样囊肿切除术。术后三年随访显示囊肿完全切除,无复发征象。

术前磁共振成像清晰显示胶样囊肿,并导致双侧脑室积水。
手术技术细节
手术最佳穿刺点借助神经导航系统确定。手术步骤包括:首先电凝脉络丛及囊壁血管,随后切开囊肿壁并吸除囊内容物。囊肿排空后,用抓钳夹持囊膜并将其轻柔地牵拉至侧脑室内。需特别关注对侧脉络丛与囊肿粘连情况,在完全游离囊肿前,先将该处脉络丛电凝并切断。
图示根据磁共振成像(MRI)规划手术入路,手术轨迹绕过尾状核头。
本案例中,施罗德教授在导航引导下将带有鞘管的LOTTA脑室镜(Karl Storz SE & Co. KG)连同穿刺针一并引入侧脑室额角。通过LOTTA脑室镜的一个侧方通道,用微型抓钳提起囊膜,以显露连接囊肿与第三脑室脉络膜组织的囊蒂。随后,经主工作通道置入双极电凝探头,对囊蒂内的血管进行电凝处理。之后用显微剪刀离断囊蒂,完整切除囊肿。
手术结束前,使用30度及45度诊断性内镜仔细检查脑室系统,确认无囊肿残留,并排除囊内实性成分堵塞中脑导水道的可能。钻孔处以明胶海绵填塞,帽状腱膜予以严密缝合,皮肤采用无创伤缝线连续缝合。

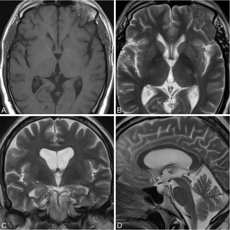
术后3年复查MRI(T1加权轴位A,T2加权轴位B、冠状位C、矢状位D)显示囊肿全切,无残留与复发征象,脑室系统形态恢复良好。
LOTTA脑室镜的技术特点
此处特别介绍LOTTA脑室镜,该设备的诞生源于施罗德教授的卓越创新。作为国际神经内镜领域的权威专家,施罗德教授凭借数十年临床经验与创新精神,发明了这款兼具高精度与微创特性的脑室镜系统。值得注意的是,"LOTTA"名称取自Schroeder教授女儿的名字,为这项技术增添了人文温度。
LOTTA脑室镜
LOTTA脑室镜将照明、冲洗和多个独立工作通道集成于单一纤细鞘管内,可在仅一个颅骨钻孔下,为脑室内深部病变(如第三脑室胶样囊肿)的切除提供清晰视野和流畅的多器械协同操作,是实现高精度、微创脑室手术的重要工具,特别适合在有限空间内完成复杂分离与止血操作。
施罗德教授在第五届世界神经外科顾问团云端峰会展示LOTTA脑室镜应用。
手术指征与治疗选择
治疗方案决策
手术目标为完全切除,在显微镜与内镜之间的选择需个体化评估。显微镜手术确实能取得良好效果,但胶样囊肿位置不佳时,显微镜存在视野盲区,此时需要神经内镜完成手术。内镜与显微镜各具优势,具体选择应根据影像学评估结果确定。
手术指征包括:
- 所有出现症状的囊肿病例
- 无症状但存在脑脊液通路梗阻迹象的囊肿
- 无症状且无脑脊液通路阻塞的囊肿——建议临床观察
- 特别注意:存在突发死亡风险
治疗结论与临床建议
虽然短期研究显示内镜下胶样囊肿切除术后效果良好,但若仅行囊膜部分切除,仍需预期显著的囊肿复发率。因此,施罗德教授主张将内镜下囊肿全切除作为一线治疗方案。
若此目标无法实现,且预计会残留显著囊壁组织,应转为内镜辅助显微外科手术,以实现囊肿全切除并达到治愈效果。然而,如果积极的镜下切除(无论是内镜还是显微手术)存在导致永久性神经功能缺损的显著风险,则应终止手术,接受次全或近全切除。