肺癌
作为全球发病率和死亡率均居首位的恶性肿瘤,一直是医学界攻克的难题。其中,约80%的病例为非小细胞肺癌(NSCLC)。更令人揪心的是,中国肺癌确诊时IV期比例超过50%(全国肿瘤登记中心数据)。传统化疗年代下,5年总生存率不足5%,晚期转移似乎成了患者心中的“绝境宣判”。

图片来源于网络
但“转移”就一定等于“无药可医”吗?
浙大一院胸部肿瘤多学科团队(MDT)通过创新诊疗方案,为一位晚期肺腺癌寡转移患者陈先生(化名)带来了新生。截至目前,陈先生无进展生存期(PFS)已达18个月以上,打破了传统诊疗模式下的预后困境。
01
老人腰背痛 竟藏肺癌寡转移隐患
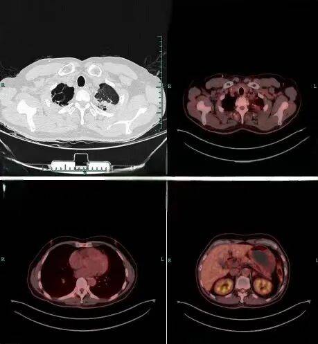
65岁的陈先生半年前因腰背痛就医,却意外揭开了生命的一场严峻考验。体检发现左上肺占位,进一步检查提示肺癌已发生骨转移,临床分期IV期。
02
精准检查:锁定“肺腺癌寡转移”核心诊断
陈先生入住浙大一院后,团队立即启动全面评估,通过多部位、多模态检查明确病情:
胸部增强CT:左肺上叶占位,倾向肿瘤,伴左侧气胸术后改变,附见第8胸椎右侧横突低密度灶;
全身骨ECT:胸8椎体右缘骨质代谢局灶性活跃,考虑骨转移可能;
全身PET:左肺尖软组织密度肿块(FDG代谢增高,考虑肺癌)、左侧锁骨区肿大淋巴结(FDG代谢增高,考虑转移)、T8右侧横突骨质密度局灶性减低(FDG代谢增高,考虑转移),左侧肾上腺增粗伴FDG代谢增高(转移不除外);

图中为治疗前肿瘤的位置
病理确诊:经无痛超声气管镜、肺穿刺活检,最终明确病理为肺腺癌;免疫组化提示Her2(1+)、CK7(+)等,ALK阴性;
基因检测:EGFR、ALK、ROS1、BRAF等常见驱动基因均为阴性。
结合各项检查结果,临床分期明确为:肺腺癌cT2aN3M1b Ⅳ期(寡转移)。
03
MDT精准破局:创新诊疗方案改写预后
对于驱动基因阴性的晚期肺腺癌患者,传统标准治疗以免疫联合化疗的全身治疗为主,但疗效有限。而该患者为寡转移类型——这一介于原发灶与广泛转移之间的特殊阶段,为局部巩固治疗提供了可能。
浙大一院立即组织普胸外科、肿瘤内科、放疗科、病理科、放射科等多学科专家会诊,最终敲定诊疗方案:纳入本院开展的“IIT研究(非小细胞肺癌寡转移患者斯鲁利单抗联合化疗一线治疗后行局部巩固治疗的疗效和安全性前瞻性、多中心、单臂Ⅱ期临床研究)”,采用“免疫联合化疗+局部手术巩固”的创新治疗路径。
01.一线免疫联合化疗
陈先生先后接受4周期斯鲁利单抗300mg联合培美曲塞+卡铂治疗;
02.疗效评估显著获益
复查胸部增强CT及全身PET显示,左肺尖病灶较前明显退缩,FDG代谢略增高(较前显著减低),原左侧锁骨区转移淋巴结基本消失,T8右侧横突转移灶FDG代谢未见增高,肿瘤活性受明显抑制;
03.局部巩固手术
经第二次MDT讨论确认,陈先生符合局部手术巩固指征。普胸外科、肿瘤内科、放疗科、麻醉科专家共同评估,认为手术获益大于风险;
04.实施“VATS左肺癌根治术”
胸腔镜手术(左肺上叶切除+纵隔淋巴结清扫术),术中支气管切缘阴性;术后病理提示少量肿瘤细胞残留,符合SMARCA4缺失的低分化腺癌,实现病理显著缓解(MPR);

图为治疗后的效果:病灶明显缩小代谢降低
05.维持治疗随访
第三次MDT讨论认为,陈先生目前病情稳定,建议继续斯鲁利单抗维持治疗,截至目前病情未进展,PFS达18月+。
04
医学突破:寡转移治疗的“浙一思路”
这则病例的成功,不仅是陈先生的幸运,更体现了浙大一院在晚期肺癌寡转移诊疗领域的前沿探索,背后蕴含着深刻的医学逻辑:
1.寡转移的“可治愈潜力”被精准挖掘
寡转移概念自1995年提出以来,一直被认为是肿瘤治疗的“关键窗口期”。其核心特征是转移灶数量少(通常≤5个)、器官局限、生物学行为较惰性,理论上可通过局部治疗(手术、放疗等)移除病灶,降低肿瘤负荷,预防远处转移。
浙大一院团队精准把握这一特征,为陈先生制定“全身治疗+局部巩固”的组合策略,突破了传统全身治疗的局限。
2.针对特殊病理类型的创新探索
陈先生术后确诊为SMARCA4缺失的低分化腺癌,这类肿瘤具有低分化、侵袭性强的特点,传统化疗疗效差,且缺乏驱动基因突变,靶向治疗不敏感,既往数据显示中位OS仅5-7个月,预后极差。而本病例通过“免疫联合化疗+局部手术”的创新方案,实现了18月+的PFS,为这类特殊类型肺癌的治疗提供了新方向。
3.MDT多学科协作是核心保障
整个诊疗过程中,MDT团队全程把控:从初诊分期、治疗方案制定,到疗效评估、手术时机选择,再到术后随访方案调整,多学科专家共同决策,确保了诊疗的精准性和连贯性。这也是浙大一院胸部肿瘤诊疗的核心优势——打破学科壁垒,为患者提供“一站式”精准诊疗服务。
05
权威解读:晚期肺癌治疗的未来方向
浙大一院胸部肿瘤MDT团队专家指出,免疫治疗的出现显著改善了晚期NSCLC患者的预后,但仅20%左右的患者能从中长期获益。而在免疫联合化疗的基础上,联合局部巩固治疗,已成为驱动基因阴性NSCLC寡转移患者的重要研究方向。
多项临床研究已证实局部巩固治疗的价值:2016年安德森医学中心多中心随机对照Ⅱ期研究显示,局部巩固治疗组中位PFS(11.9个月 vs 3.9个月)和OS(41.2个月 vs 17.0个月)均显著优于对照组;近年来Bauml 2019、Chen 2022等研究也证实,免疫治疗联合局部巩固治疗可显著延长患者PFS。
浙大一院开展的这项Ⅱ期临床研究,正是聚焦这一前沿方向,目前正在顺利入组中,已有病例展现出持续获益,期待未来能为更多寡转移NSCLC患者带来治愈希望。



2026
辞旧迎新 元旦快乐