
医生笔记
系
列
故
事

初
识
患
者
“就偶尔肚子疼,排便后就好,我以为是吃坏了东西,怎么也想不到会是癌症。”拿着结肠癌诊断报告时,31岁的王女士(化名)仍难掩惊讶。近日,北京胸科医院消化内科凭借细致入微的诊疗功底和多学科协同优势,在一周内为这位“低风险”患者确诊早期结肠癌,用精准医疗为其守住了生命健康的“黄金防线”。
故事始于一个普通的门诊上午。北京胸科医院消化内科诊室里,主治医师像往常一样接诊着络绎不绝的患者。31岁的王女士抱着“图个放心”的心态走进来,语气轻松地描述着自己的症状:“最近一个月偶尔脐周疼,不严重,吃了东西几小时后犯,拉完肚子就好了,大便有时候不成型,没别的不舒服。”她还笑着补充,自己上网查了像“肠易激综合征”,特地来问问用不用做检查。
治
疗
过
程
从症状上看,这确实是消化科门诊最常见的“普通情况”。王女士年轻,没有吸烟、饮酒等不良嗜好,家族里也没有肿瘤病史,更没有便血、消瘦等癌症“报警信号”——按照常规判断,大概率是胃肠功能紊乱或轻微炎症,通常不会直接建议胃肠镜等有创检查。
但多年的诊疗经验让医生没有掉以轻心。在详细问诊后,医生为其进行腹部体格检查。王女士体型匀称,腹壁不厚,触诊本应顺利,可当手探至右上腹时,医生敏锐地摸到一个位置固定的深部包块,深压时王女士还露出了轻微不适的表情。

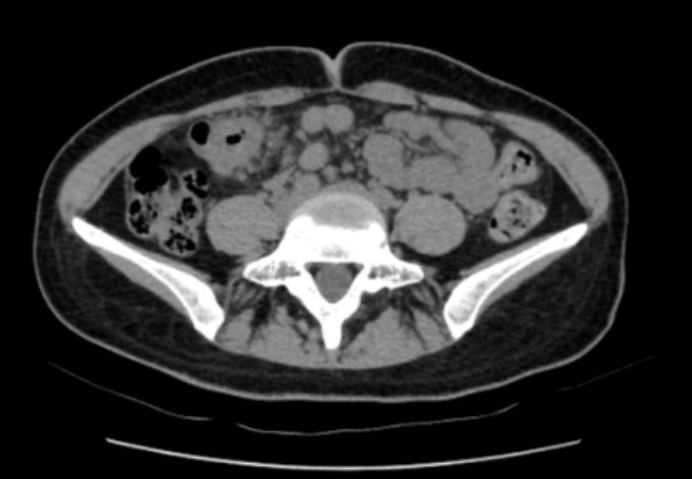
“脐周疼痛对应的多是小肠问题,右上腹的包块却指向肝胆、结肠等器官,这两者对不上。”医生立刻警觉起来,当即安排王女士做腹部CT检查。影像结果很快出来:结肠近肝曲处肠壁可疑增厚,肠腔狭窄——这个信号让诊疗团队的神经瞬间紧绷。
治
疗
结
果
“必须做结肠镜进一步确诊!”医生向王女士和家属解释时,果然遇到了顾虑:“我才31岁,就要做肠镜?会不会很痛?要等很久吗?”面对疑问,医生耐心说明:“CT提示的肠壁增厚很可能和你的腹痛有关,只有肠镜能看清肠道内部情况,早查早放心。”考虑到情况特殊,医生还协调消化内镜中心,为其加急安排了无痛结肠镜检查,承诺“三天内完成”。
三天后,消化内镜中心孙舒仰医生操作的结肠镜顺利进行。当镜头探至升结肠近肝曲——正是之前查体摸到包块的位置时,一个不规则肿物赫然出现: 它环绕肠腔2/3,表面糜烂溃疡还附着污苔,质地脆弱一碰就出血,肠壁已变得僵硬,管腔也出现偏心性狭窄,万幸肠镜还能勉强通过。“高度怀疑结肠癌。”孙舒仰医生当场判断。

几天后的病理报告印证了这一结论:中分化腺癌。“原来腹痛、大便不成型是肠腔狭窄导致的不完全性肠梗阻,进食后压力增大就疼,排便后缓解。”医生解释道。从首次就诊到病理确诊,全程仅用6天,这背后是消化内科、影像科、内镜中心、病理科的高效协同作战。目前,王女士已转至肿瘤科和普外科接受进一步治疗。
医
生
感
悟
“这个病例太特殊,也太关键了。”回顾整个诊疗过程,主治医生仍感慨不已。王女士属于结直肠癌筛查指南中的“一般风险人群”, 年轻、无危险因素,症状又不典型,稍有疏忽就可能错过早期信号。“要是晚几个月发现,肿瘤很可能转移,治疗难度和预后会天差地别。”
医
生
叮
嘱
近年来,我国结直肠癌发病率逐年上升,患者呈现“年轻化”趋势。北京胸科医院消化内科主任提醒,保持摄入膳食纤维、坚持运动等健康生活方式能降低发病风险,有家族史、慢性肠炎等危险因素的人群要定期筛查;即便是低风险人群,一旦出现腹痛、排便习惯改变、便血、消瘦等症状,也务必及时就医,切勿因“年轻”“症状轻”而掉以轻心。
值得一提的是,为破解胃肠镜检查预约难、等待久的问题, 北京胸科医院消化内科推行“七天无痛胃肠镜计划”,通过优化流程、调配资源,确保患者一周内就能完成无痛胃肠镜检查,既保证了舒适度,又大大缩短了诊断周期。“让患者少等待,让病情早明确,这是我们推行计划的核心目的。”医院相关负责人表示。
本篇作者


王思诣,首都医科大学附属北京胸科医院消化内科医师,内科学硕士,毕业于首都医科大学附属北京友谊医院。主要从事消化内科常见病的诊治、胃肠镜检查等。

稿件提供 | 消化内科 王思诣
系列策划 | 宣传中心 丛林
图片提供 | 消化内科
页面编辑 | 宣传中心