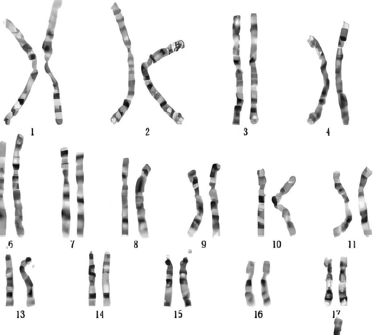
29岁的王女士与丈夫结婚三年,始终未能迎来期盼中的宝宝。在外人眼中,这对夫妻生活幸福,但迟迟不孕的困扰让他们决定前往东部战区总医院生殖医学科进行系统性的生育力评估。然而,检查结果却令所有人震惊:外表和生理特征完全为女性的王女士,染色体核型竟然是46,XY——从遗传学角度来看,这是一套典型的男性染色体。

医生解释,王女士患的是一种极为罕见的先天性性发育异常疾病。胚胎发育成男性或女性的过程,犹如一场精密的“施工”,染色体是“施工图纸”,而关键的“施工信号”则负责指挥发育方向。王女士的“图纸”是男性的(46,XY),但“施工信号”在传递过程中出现故障,导致性腺未能分化为睾丸,而是发育为纤维条索状组织。因此,她的身体在胚胎期便沿着女性方向自然发育,形成了女性的内外生殖器。但由于卵巢功能缺失,她无法产生卵子并分泌必要的激素,从而导致闭经和不孕。

明确病因后,医疗团队为王女士制定了详尽的治疗方案。首先通过激素替代治疗,帮助她建立规律的月经周期,维持女性第二性征,并促进子宫发育,为后续生育做准备。由于王女士无法提供自身卵子,在充分沟通并获伦理委员会批准后,夫妻二人选择了供卵试管婴儿技术。通过匿名志愿者捐赠的卵子与丈夫的精子结合,形成胚胎并成功移植。最终,王女士顺利诞下一名健康的女婴,圆了做母亲的梦想。

这一案例不仅展现了现代生殖医学的强大能力,更体现了对罕见病患者的关怀与支持。王女士的故事提醒我们,生命的诞生有时需要跨越遗传的壁垒,而科学与爱心终能为困境中的家庭点亮希望之光。