前列腺癌是全球男性高发恶性肿瘤之一,随着我国人口老龄化加快及PSA筛查普及,其检出率呈持续上升趋势。精准的疾病分期是制定治疗方案的核心前提,近日,邯郸市第一医院核医学科依托18F-FDG与18F-PSMA双核素PET/CT显像技术,为前列腺癌精准诊断与分期提供了革命性工具,成功破解多项临床诊疗难题。

为攻克这一诊疗痛点,邯郸市第一医院核医学科通过多例临床典型病例,充分验证了双核素PET/CT显像技术的独特优势。

(左四 右四)
72岁的李先生因尿频、排尿不畅半年就诊。18F-FDG PET/CT(左4图)对前列腺内的病灶“视而不见”,而18F-PSMA PET/CT(右4图)却精准锁定了前列腺内原发肿瘤。“多亏了这项精准的检查技术,让我少走了弯路,真的太感谢市一院的医生了!”张先生握着主治医生的手,感激地说道。

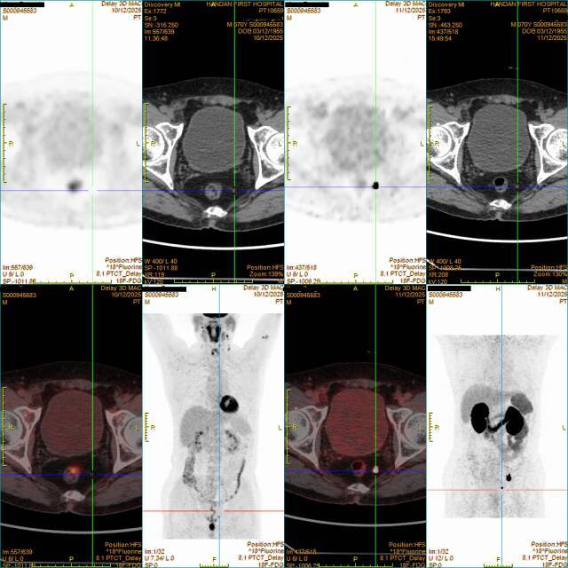
(左四 右四)
70岁的孔先生在前列腺癌切除术后2月余来我院进行复查。PSMA PET/CT(右4图)凭借“明察秋毫”的技术优势,在直肠旁发现一个直径仅0.3厘米的微小转移病灶,而FDG PET/CT(左4图)完全遗漏了这一病灶。在患者术后PSA尚未显著升高的关键阶段,PSMA显像实现了极早期的生化复发及微小转移灶检出,为后续挽救性放疗或靶向治疗赢得了宝贵的“黄金时间”。康复后的孔先生感慨道:“没想到这么小的病灶都能被精准发现,正是这份及时的诊断,给了我康复的希望,邯郸市第一医院的技术值得信赖!”
为何双核素PET/CT显像能实现如此精准的诊断效果?核心在于前列腺特异性膜抗原(PSMA)的特异性作用。PSMA在绝大多数前列腺癌细胞表面过度表达,18F-PSMA显像剂可像“钥匙配锁”般特异性结合PSMA,让肿瘤病灶在影像上清晰显影,其对转移灶的检出率远高于传统影像技术,即便是低PSA水平下也具备高灵敏度。
与此同时,FDG显像剂可精准反映肿瘤糖代谢水平,二者联合应用形成优势互补的“组合拳”,实现“1+1>2”的协同效应:既能揭示肿瘤异质性,全面评估肿瘤生物学特性;又能实现精准分期,为治疗方案划定清晰“战场”;更能指导靶向治疗,为晚期患者筛选适合PSMA靶向放射性核素治疗的人群。

目前,18F-PSMA PET/CT主要适用于高危前列腺癌的初始精确分期、根治性治疗后生化复发的病灶探寻,以及转移性患者的靶向治疗评估。邯郸市第一医院核医学科已常规开展此项前沿检查,并积极探索双核素、多参数融合成像技术,致力于为每一位前列腺癌患者提供个体化精准影像诊断,将“看不见”的肿瘤威胁转化为“看得清”的治疗靶点,助力临床实现从“泛化治疗”到“精准打击”的跨越,为前列腺癌患者的健康保驾护航。
总院区河北医科大学第三医院邯郸医院 汉光院区 纺医院区 健康管理体检中心 东湖院区 ◈我院妇科李晓丹主任手术视频斩获省奖 ◈邯郸市第一医院鼻炎专病门诊正式运营 ◈从“感冒”到畅快呼吸:一名初中生的脱敏治疗之路 ◈邯郸市第一医院获批河北省首批研究型病房 ◈【京津冀名医门诊】我院功能神经外科名誉主任、天津环湖医院尹绍雅教授 来源:核医学科 供稿:石俊岭 编辑、审核:王利辉