大众卫生报·新湖南客户端12月21日讯(通讯员 钟莎 李娉)56岁的张先生是个健身达人,每天都能完成100个俯卧撑、慢跑5公里,关键是每年常规体检中血压、血脂、血糖等指标都在正常范围内。没想到最近,他在做俯卧撑时突发脑出血,被紧急送往长沙市中医医院(长沙市第八医院),所幸经医院神经外科・NICU团队紧急救治,现已脱离生命危险。

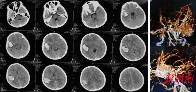
事发当天,张先生正朝着每日100个俯卧撑的目标努力,做到第89个时突然重重砸在瑜伽垫上。他挣扎起身时,突然感到钢针刺进太阳穴般的剧烈头痛,还伴随天旋地转的眩晕感,根本无法站立。家人见状立即拨打120急救电话,将其紧急送医。经头颅CT检查,张先生被确诊为运动相关性脑出血,出血量达15毫升。神经外科・NICU主任钟治军带领团队迅速开展紧急救治,最终助其脱离生命危险。

常规体检正常≠运动安全
“常规体检绝不是运动安全的‘通行证’,中老年人进行高强度运动时,血管可能暗藏致命风险。”钟治军解释,很多人看似体检指标正常,体内却可能隐藏微小脑血管畸形、脑动脉硬化斑块等问题,这些隐患往往难以通过常规体检捕捉。
冬季低温与高强度运动的叠加,会让风险进一步陡增。“冬季低温会导致血管收缩,血压自然升高;像俯卧撑这类长收缩运动,憋气发力时胸腔、腹腔压力会骤增,进而让血压瞬间突破峰值。健康人收缩压都可能从120mmHg飙升至200mmHg以上,极易冲击血管薄弱处,引发破裂出血。”钟治军补充道。
近年来,类似案例持续增多。相关数据显示,45-60岁人群中约10%-20%存在“无症状脑血管隐患”。常规体检仅测量静息状态下的血压,无法捕捉运动过程中的血压剧烈波动;长期高强度运动还可能诱发“运动性高血压”,这种突发的血压飙升对血管的冲击力更强,而冬季低温环境会进一步放大这一风险,成为中老年人运动中的“隐形杀手”。

冬季运动牢记三条底线
为避免运动变“伤身”,钟治军提醒中老年人,运动务必遵循科学原则,牢记以下三条底线:
1.开展“专项评估”。除常规体检外,需加做颈动脉超声和动态血压监测,彻底排查血管隐患。
2.坚决避开“危险运动”。50岁以上人群应减少整体发力的运动动作,用慢走、游泳等低强度有氧运动替代俯卧撑等高强度训练;若需进行力量训练,需选择“小重量、多次数”模式,降低对血管的冲击。
3.坚守“30分钟安全线”。单次运动时间不宜超过30分钟,心率需控制在(220-年龄)×60%的范围内;一旦运动中出现头痛、头晕、胸闷等不适,应立即停止运动并及时就医。
康复后的张先生感慨道:“运动是为了健康,不是和身体较劲。” 如今他已调整运动方式,每天散步40分钟,每周打两次太极拳。
钟治军强调,中老年人运动需适可而止,常规体检正常仅代表健康基础状态,不能作为开展高强度运动的依据。冬季气温偏低,人体血管易收缩,此时更需科学评估运动风险,让运动真正成为守护健康的助力,而非诱发健康危机的隐患。
来源:大众卫生报·客户端