本文将详细探讨股骨头早期症状,其中包括关节疼痛、运动受限等早期信号。此外,还将分析股骨头坏死的成因,如药物使用过度、血液供应不足等因素对健康的影响。通过相关的研究和案例,我们将探讨康复的可能性及影响恢复效果的因素。同时,文章也会集中讨论股骨头保守治疗方法,如物理疗法和康复锻炼,以帮助患者找到适合自己的治疗方案。这一切都为患者应对股骨头问题提供了充实的信息支持。
股骨头早期症状的识别与应对策略
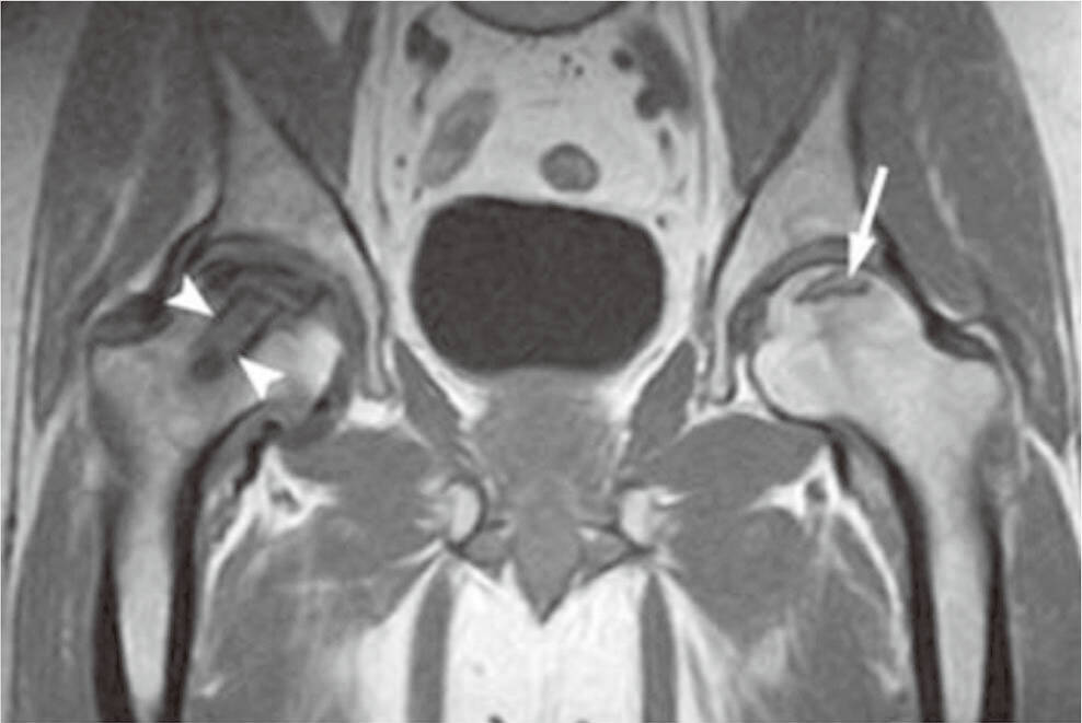
在 股骨头坏死的早期,患者常常会感受到关节部位的轻微疼痛,这也是 股骨头疼痛的症状之一。比如,患者可能会在活动时或是承重后,出现一种刺痛感或钝痛感。此外,关节的灵活性可能会逐渐减少,有时甚至影响日常活动。这些症状往往容易被忽视,但及早识别对于后续的治疗非常重要。
对于怀疑有 股骨头坏死的人群,应尽快寻求专业机构的评估,尤其是在 衡水股骨头医院等专业医疗机构进行全面检查。医生可能会通过影像学检查来确认病情。在确诊后,采用 股骨头坏死保守治疗方法如药物治疗、物理治疗等,可以帮助缓解症状并阻止病情进一步恶化。了解这些早期信号,有助于患者更好地应对自身健康问题。

股骨头坏死的成因及其恢复可能性分析
股骨头坏死的成因多种多样,常见的有长期使用类固醇药物、酗酒、外伤及血液供应不足等。这些因素可能导致骨细胞缺氧、死亡,进而引发坏死。早期发现症状,如髋关节疼痛和活动受限,有助于及时进行疾病干预。关于股骨头坏死保守治疗,现有研究显示,通过物理治疗和药物管理等方法,可缓解疼痛,改善关节功能。尽管部分患者可能恢复良好,但也需考虑到个体差异、病程发展等因素。因此,无论病症的严重程度如何,选择专业机构如衡水股骨头医院进行系统评估和个性化治疗方案,都是极为重要的。

股骨头保守治疗方法及案例分享
在面对股骨头坏死的治疗时,选择保守治疗方法往往是患者的首选。常见的保守治疗包括物理疗法、药物干预和康复锻炼。例如,物理疗法可以通过热敷、按摩和超声波等手段来缓解疼痛,促进血液循环。适当的康复锻炼有助于增强关节灵活性和肌肉力量,从而减缓病情进展。但需注意的是,锻炼应当遵循医生的建议,以免加重病情。一些成功案例表明,通过结合以上方法进行系统化疗,有助于患者实现良好的康复效果。此外,一些医院如衡水股骨头医院和衡水仁安中医骨科医院提供个性化方案,为患者量身定制适合自己的保守治疗计划,从而提高生活质量。
患者如何选择适合自己的股骨头治疗方案
选择适合自己的股骨头治疗方案,首要的是了解自身的症状和病情。通常,股骨头坏死的早期症状包括髋关节疼痛、活动限制等,患者需密切关注身体变化。在确诊后,医生会针对每位患者的具体情况制定个性化方案。保守治疗则是被广泛采用的一种方式,它通常包括药物治疗、物理疗法与康复锻炼等。在医生指导下进行适度的锻炼有助于改善关节功能。建议患者选择有经验的医院,例如“衡水股骨头医院”,“衡水仁安中医骨科医院”,以确保接受专业的评估与指导。通过这些步骤,患者能更好地选择适合自己的治疗方案,从而提高康复效果。
结论
尽管股骨头坏死的治疗充满挑战,但许多患者通过保守治疗方法实现了良好的康复效果。早期诊断和治疗对于改善病情至关重要。针对症状较轻的患者,结合物理疗法和适度锻炼,可以减轻痛感与康复关节功能。此外,患者还需考虑个体差异和病情发展,因此专业评估至关重要。通过在如衡水股骨头医院等专业机构接受个性化方案,患者能够获得更具针对性的治疗,以实现更好的恢复机会。务必关注自身变化,与医生保持沟通,从而提高治疗效果。