
近日,清华大学北京清华长庚医院援疆医生、泌尿外科主治医师王方明,助力和田县人民医院开展院内首例腹腔镜肾癌切除术。患者术后恢复良好,顺利出院。
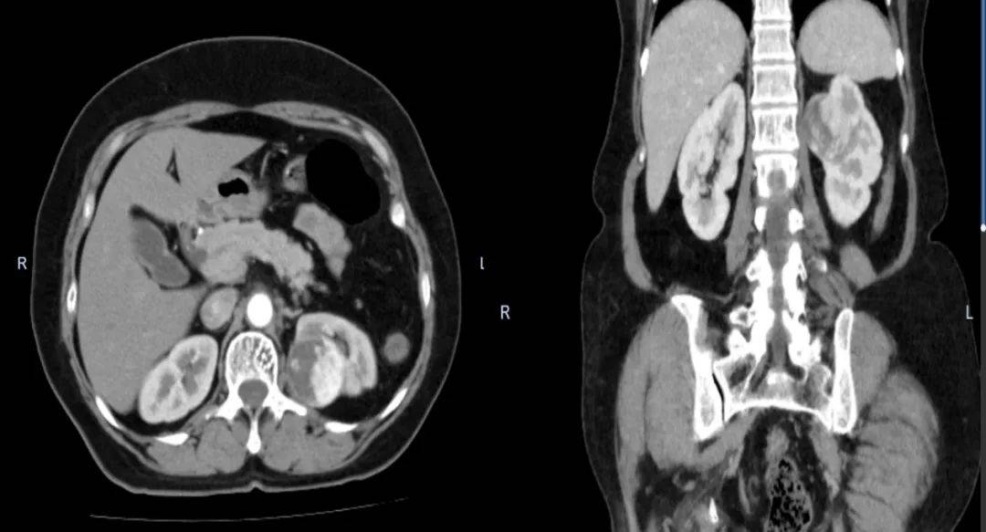
患者为中年女性,常规体检时发现左肾占位性病变。为进一步治疗,患者来到和田县人民医院王方明门诊,入院后完善腹部增强CT检查提示左肾恶性占位性病变,病灶直径6cm,若不及时治疗,患者将面临生命危险。

患者术前增强CT影像学检查结果(左为横断面,右为冠状位)
王方明认真分析患者病史以及影像学资料,主持病例分析和术前总结会,并与放射科共同研判CT结果。结合肿瘤性质和分期、患侧肾血管分布情况、局部淋巴结受累情况、健侧肾的功能等,经讨论,为减少患者创伤,助力术后快速恢复,王方明团队为患者制定了后腹腔镜下左肾肿瘤切除术。

王方明(左一)开展手术
以教带学,术中,王方明谨慎操作腹腔镜,小心切除病灶,并采取"实操+讲解"的模式,重点讲解操作要点与难点,与传统开放术式相比,腹腔镜术减少了术中出血和创伤。历时1.5小时,手术顺利完成,术中出血量仅5ml。安返病房后,术后4天出院。

切除的病灶
助力人才培养,作为援疆医生,王方明主动带领科室医生为当地民众普及健康科普知识,并对标准化有逻辑性的汇报流程、规范化诊疗方案进行指导与讲解,给予专业建议。手术过程中,王方明在每一步操作中进行详细讲解演示,指导手术配合,传授诊疗思路,对本地医疗团队成员进行了手把手的传帮带。


王方明(右二)在当地开展健康咨询、“师带徒”
来源 | 泌尿外科
责任编辑 美编排版 | 宣传中心
审核 | 韩冬野
要闻回顾 news

北京清华长庚医院获批3项北京市自然科学基金第一批联合基金项目

清华长庚:为睡不好的“小呼噜”开通暑期就医绿色通道