胃腺鳞癌(ASC)是一种极其罕见的肿瘤。其罕见性导致有关其诊断和管理的文献稀少,给临床实践带来了相当大的挑战。一名 70 岁男性因上腹痛就诊,胃镜和CT检查发现胃窦部肿块。组织病理学分析确诊为腺鳞癌。免疫组化染色显示PMS2和MLH-1表达缺失,分子分析证实MLH-1甲基化,提示微卫星不稳定高(MSI-H)。PD-L1综合阳性评分(CPS)显著升高至 80。患者术后接受了六个周期的奥沙利铂联合PD-1抑制剂治疗。一年随访时,患者仍处于长期缓解状态,无复发迹象。本病例强调了手术、化疗和免疫治疗联合应用在胃ASC管理中的潜在疗效,尤其是在MSI-H和PD-L1高表达的情况下。本文进一步强调了综合分子谱分析在指导此类罕见恶性肿瘤个性化治疗策略中的关键作用。亟需进一步研究和更多病例报告,以建立胃ASC的最佳管理方案并改善长期预后。
背 景
胃癌是全球最常见的恶性肿瘤之一,在东亚地区的发病率和死亡率尤为突出。随着科技的发展,为胃癌手术治疗带来了显著效益和新机遇,成为胃癌根治术的未来发展趋势。组织学上,胃癌包含多种亚型,其中腺癌是主要类型,而鳞癌相对少见。腺鳞癌(ASC)是一种同时包含腺癌和鳞癌成分的肿瘤,极为罕见,占所有胃癌的比例不足 0.5%。该肿瘤具有复杂的生物学行为,通常预后不良。
由于其罕见性,关于胃腺鳞癌诊断和治疗的文献仍然稀少。临床管理常依赖于常规胃癌病例的治疗模式。近年来,胃癌治疗取得了显著进展,尤其是随着免疫治疗的出现,包括PD-1/PD-L1抑制剂,以及传统的手术和化疗方法。已发现多种潜在生物标志物,如综合阳性评分(CPS)、错配修复缺陷(dMMR)和Epstein-Barr病毒编码小RNA(EBER),以指导免疫治疗应用。新兴研究表明,胃腺鳞癌可能呈现高CPS评分和 dMMR,为这种罕见恶性肿瘤提供了新的治疗途径。
本病例报告介绍了一名 70 岁男性胃腺鳞癌患者的诊断和治疗过程。术后组织病理学证实为中分化肿瘤,包含鳞癌和腺癌成分,伴有PMS2和MLH-1表达的免疫组化缺失,以及MLH-1基因甲基化。患者随后接受辅助化疗联合免疫治疗(奥沙利铂和信迪利单抗),最终实现长期缓解。通过对该病例的详细分析,研究人员阐明了诊断挑战、分子特征对治疗的影响。
病 例
患者男,70 岁,因轻度上腹痛就诊于兰州大学第二医院,症状最早于入院前两个月出现。CT影像显示胃窦部胃壁增厚,伴明显强化(图1A)。胃镜检查发现胃窦部不规则溃疡性病变,边界不清,表面伴出血(图1B)。活检证实为鳞状细胞癌,血清肿瘤标志物(CEA、CA199、CA125、CA724、AFP)均在正常范围内。患者随后接受腹腔镜远端胃切除术联合淋巴结清扫术。术中见胃窦小弯侧一 7 cm大小肿瘤,穿透浆膜层并与横结肠系膜粘连。

▲图1 影像术前影像和胃镜检查结果
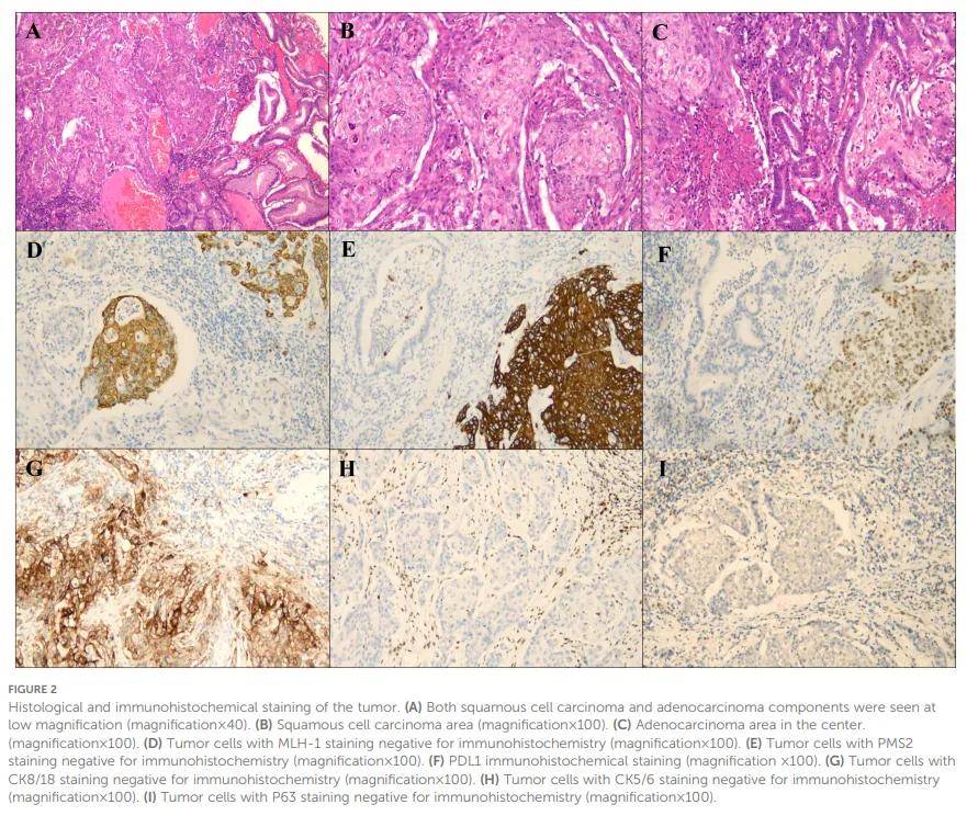
术后组织病理学显示,肿瘤由 80% 的鳞状细胞癌和 20% 的腺癌组成,两者均为中分化(图2A-C)。肿瘤浸润胃壁全层,累及邻近血管和神经,手术切缘阴性,23 枚淋巴结中 1 枚见转移。免疫组化分析显示腺癌成分表达CK8/18(图2D)和CKp,鳞癌成分表达CK5/6(图2E)和p40(图2F),PD-L1(图2G)综合阳性评分(CPS)为 80。肿瘤表现为MLH-1(图2H)和PMS2(图2I)表达缺失,HER2和EBER检测结果阴性。P53呈突变表型。进一步分子分析证实MLH1甲基化,提示微卫星不稳定高(MSI-H)状态归因于该甲基化,因此排除林奇综合征。患者术后接受 6 个周期奥沙利铂联合信迪利单抗治疗,一年随访时无病生存。

▲图2 肿瘤的组织学和免疫组化染色结果
讨 论
胃腺鳞癌是一种极其罕见的恶性肿瘤,最常见于胃远端三分之一。其特征是同时存在腺癌和鳞癌成分,其中鳞癌成分占比超过 25%。诊断依赖组织病理学评估和免疫组化染色以区分两种细胞成分。腺癌成分通常表现为腺管结构,而鳞癌则呈现角化、细胞间桥等典型特征。免疫组化分析显示腺癌表达CK8/18和CKp,鳞癌成分表达CK5/6和p40。本病例中,组织学形态和免疫表型均符合典型腺癌与鳞癌特征,为病理诊断提供了有力依据。通过检索PubMed数据库,研究人员发现 2 篇关于消化系统腺鳞癌伴微卫星不稳定的英文文献(表1)。其中,Liu等人报道了 1 例微卫星高度不稳定的胰腺腺鳞癌患者,术后出现肝转移复发,经综合治疗后达到完全病理缓解。
由于其罕见性,关于胃腺鳞癌的系统性研究匮乏,其发病机制尚未明确。目前提出的假说包括:①胃黏膜异位鳞状上皮恶变;②胃黏膜干细胞异常分化——正常情况下干细胞分化为特定功能组织,异常分化可同时形成鳞癌和腺癌成分;③慢性胃炎、幽门螺杆菌感染或长期化学物质暴露(如酒精)可能导致上皮再生异常及鳞状上皮化生,最终发展为腺鳞癌。综上,胃腺鳞癌可能为多因素病因所致,需进一步研究阐明其发病机制,为临床诊断和治疗提供更充分的依据。
由于胃腺鳞癌罕见,其治疗策略多借鉴胃腺癌和鳞癌的方案。回顾胃腺鳞癌临床特征的研究表明,对于早期或局部进展期患者,根治性手术仍是首选治疗方式。但鉴于术后复发率较高,通常需辅以辅助治疗。术后辅助化疗多参照胃腺癌方案,如奥沙利铂联合氟尿嘧啶类药物(FOLFOX或XELOX方案)。研究显示,以铂类为基础的化疗方案可显著延长晚期胃腺鳞癌患者的无病生存期(DFS)和总生存期(OS)。
免疫治疗(尤其是PD-1/PD-L1抑制剂)在微卫星高度不稳定(MSI-H)或错配修复缺陷(dMMR)肿瘤中备受关注。微卫星不稳定(MSI)是指DNA错配修复机制缺陷导致的微卫星重复序列改变,常见于MLH1、MSH2、MSH6、PMS2等基因突变或甲基化。MSI在多种癌症中常见,尤其是结直肠癌和胃腺癌。值得注意的是,目前尚无研究报道腺鳞癌与MSI-H的关联。在部分癌症中,MSI-H或dMMR状态与PD-L1高表达密切相关,且此类肿瘤通常对免疫检查点抑制剂反应良好。本病例中,患者的MSI-H状态及PD-L1高表达可能是其对信迪利单抗产生良好应答的重要原因。
本病例报告凸显了胃腺鳞癌这一罕见且侵袭性强的胃癌亚型在诊断和治疗方面的挑战。值得注意的是,在错配修复缺陷的情况下引入免疫治疗,实现了持续缓解。未来的病例报告结合分子病理学和个性化治疗策略的进展,有望进一步改善胃腺鳞癌的预后。
我司可提供微卫星不稳定性(MSI)检测(PCR方法学)、MMR蛋白表达检测(IHC方法学)、PD-L1蛋白表达检测(IHC方法学),以及MLH1基因甲基化检测(甲基化特异性[MS]PCR方法学),可满足患者的个性化需求。另外,我司实体瘤1299基因检测、实体瘤272基因检测PLUS版、胃癌116基因检测以及胃食管癌个体化检测套餐,均包括MSI,可为患者提供更加全面的靶向、免疫和化疗指导。
基因
参考文献:
Zhang P, Yang J, Liu Y, Zhou Q, Xue C, Zhang B, Li Y. Long-term remission of microsatellite instability-high adenosquamous carcinoma in gastric antrum: a case report. Front Oncol. 2025 Apr 11;15:1516966. doi: 10.3389/fonc.2025.1516966. PMID: 40291920; PMCID: PMC12021638.