有一种人体必需微量元素
预防龋齿需要它
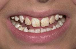
但如果过量,还会送你一副大黄牙
它就是氟

图源:新疆疾控
所以,跟氟“打交道”
把握“度”很重要
预防氟中毒,从饮水开始
一、饮水型地方性氟中毒
是什么?
饮水型地方性氟中毒(简称饮水型地氟病)是一种地方病,是由于居民长期通过饮水摄入过量的氟而引起的慢性全身性中毒,属于生物地球化学性疾病。
临床上主要表现为牙齿和骨骼的改变,分别称为氟斑牙和氟骨症。

二、氟超标的原因
氟的化学地理迁移能力极强,广泛存在于岩石、土壤、水、空气中,易被人体获得。
高氟水既可以来自浅层地下水,也可以来自深层地下水、地热水和温泉高氟地区,以及高氟岩石和富氟矿床地区。

三、饮水型地方性氟中毒的
临床表现
通过饮水摄入过量氟可以引起全身性慢性蓄积性中毒。
氟主要侵犯牙齿和骨骼,表现为氟斑牙和氟骨症,是地方性氟中毒的特征性损害。氟对于非骨相组织,如神经、心血管、免疫等系统也会造成一定程度的损伤,但不具有特异性。

01.氟斑牙
氟斑牙是氟中毒的主要临床表现之一,是反映氟中毒最敏感、特异的指标。氟斑牙轻者影响外观和美容,重者影响咀嚼及消化功能。

02.氟骨症
氟骨症是以颈、腰和四肢大关节疼痛、肢体运动功能障碍以及骨和关节X线征象异常为主要表现的慢性代谢性骨病。初期仅有持续性的骨关节疼痛并伴有一般的中毒症状,影响患者生活质量;继续发展可出现关节不灵活、运动功能障碍等体征,生活和劳动能力降低;严重的氟骨症病人肘关节僵硬变形,活动障碍,因为摸不到自己的脸而不能洗脸、洗头,脊柱严重弯曲变形,劳动能力显著降低或丧失、生活不能自理,甚至瘫痪。

四、如何预防饮水型地方性氟中毒?
在一定程度上,地氟病可防不可治,避免罹患地氟病必须从预防做起。
01.定期对水质进行监测,发现水氟超标,应及时采取措施。以改换低氟水源为首选,可以因地制宜地选择深井水、地面水、雨水等。如果附近找不到低氟水源,则需要通过物理或化学方法对饮用水进行除氟处理。
02.加强科普宣教 有的高氟地区居民,为了节省水费,不使用改水后的低氟自来水,而是继续饮用自家的压把井井水,造成家中儿童患有氟斑牙。因此在饮水型地方性氟中毒病区一定要加强宣传教育,避免类似的情况再次发生。


五、饮水型地方性氟中毒的治疗
饮水型地方性氟中毒病因清楚,重在预防,针对患者以对症治疗为主。
根据氟斑牙的严重程度可采用漂白法和修复法给予对症治疗。
对于氟骨症目前尚无特异的治疗方法及药物,主要是减轻痛苦、对症处理,同时提高膳食营养。
重在预防!