
腰痛隐忍一年,确诊时已属晚期肾癌
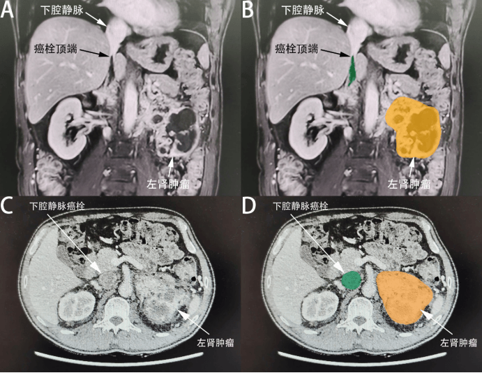
52岁的孙先生怎么也没想到,一次普通的腰痛竟暗藏致命危机。一年多前,他开始出现左侧腰痛,因无肉眼血尿等症状,自行服用止痛药后缓解,便未重视。直到2024年 11 月,他在当地医院体检发现肌酐值飙升至 216.4μmol/L(正常范围约53-106μmol/L),进一步 CT 检查揭示了惊人真相:左肾有一个约10.5×8.7cm的巨大肿块,癌栓已侵入左肾静脉及下腔静脉,甚至突破膈肌,达到肾癌合并静脉癌栓最严重的 MayoIV级(癌栓顶端超过肝静脉开口)。此外,肝脏和肾上腺还发现可疑转移结节,病情岌岌可危。
当地医院为孙先生进行了左肾穿刺活检,确诊为肾透明细胞癌,并紧急实施肾动脉栓塞术控制肿瘤血供。为求进一步治疗,孙先生来到上海交通大学医学院附属瑞金医院嘉定院区泌尿外科,开启了与死神的赛跑。
新辅助治疗 “缩瘤降期”,创造手术生机

术前增强磁共振及CT影像
泌尿外科团队评估后认为,孙先生的癌栓位置高、体积大,直接手术风险极高。于是决定先采用靶向药物培唑帕尼进行新辅助治疗,为手术创造条件。经过4个月的治疗,奇迹逐渐显现:左肾肿瘤缩小至约9.2×8.0cm,下腔静脉癌栓顶端退缩到肝静脉开口下方(Mayo分级降为接近III级),肝脏转移结节消失,肌酐值也有所下降。这些变化意味着癌栓从 “不可切除” 转为 “可能切除”,手术窗口终于打开。
腹膜外入路:微创背后的 “功能保护战”
传统肾癌手术多经腹腔路径,但需切开腹膜,可能导致肠粘连、肠道损伤等并发症,对肿瘤患者而言,还可能增加癌细胞腹腔播散风险。对于未来可能需要腹透的患者,腹膜完整性更是至关重要。瑞金医院泌尿外科团队近年来深耕腹膜外入路技术,力求在根治肿瘤的同时最大限度保留正常解剖结构。
“腹膜外空间狭小,操作难度堪比‘螺蛳壳里做道场’,但对患者长远预后意义重大。” 主刀医生潘隽玮副主任医师解释道。尤其对于左侧肾癌合并下腔静脉癌栓的患者,因左侧解剖结构更复杂,需多次变更体位,手术难度远超右侧同类手术。
多学科协作:7 小时 “拆弹”
2025年5月7日,在泌尿外科徐丹枫主任和邵远主任的指导下,由潘隽玮医生主刀,联合麻醉科、血管外科、手术室护理团队展开 “攻坚战”,实施 “分体位、分步骤” 精准手术方案:


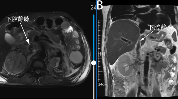
术后腹部MR平扫
(右图容易引起不适,请谨慎左滑)
首先取右侧卧位,经腹膜外路径游离并离断左肾2支动脉主干以切断肿瘤血供;随后转换为左侧卧位,在腹膜外小心分离粘连致密的下腔静脉,离断数支肝短静脉暴露肝后下腔静脉,在麻醉科经食道超声实时定位下精准套带阻断癌栓近端血管,依次切开下腔静脉,因癌栓与血管壁粘连紧密且伴陈旧血栓,剥离须如“剥茧”般细致,团队果断决定保留下腔静脉,经精细缝合重建血管壁后成功完整取出癌栓;最后再次转为右侧卧位,经同一腹膜外路径切除左肾及肾上腺,全程出血仅约250mL。
术后闯关:从急性肾衰到顺利康复
术后,孙先生因术前肾功能受损及术中血管阻断时间较长,出现少尿型急性肾衰。在ICU团队的临时透析支持和精心护理下,他的尿量逐渐恢复正常,肾功能稳步回升。两周后,孙先生顺利转回普通病房,复查显示下腔静脉通畅,无癌栓残留,目前已康复出院,肌酐值接近正常水平。

“保留腹膜看似‘多此一举’,实则体现了外科理念的进步——从‘切除肿瘤’到‘治愈患者’的升级。”主刀医生潘隽玮副主任医师指出,腹膜外入路不仅减少了肠道并发症和肿瘤播散风险,更为腹透患者保留了重要生理功能。此次手术成功突破左侧高位癌栓的技术瓶颈,标志着瑞金医院在腹膜外微创领域已达国内领先水平。
肾癌早期常无典型症状,有不少患者确诊时已出现转移。建议40岁以上人群每年进行肾脏超声 + 肾功能检查,尤其有高血压、糖尿病、吸烟史者需提高警惕。若出现持续腰痛、血尿、腹部包块等症状,务必及时就医,避免延误治疗。
瑞金医院泌尿外科团队始终秉持 “广博慈爱,追求卓越” 的精神,以微创技术为刃,以多学科协作之力,为复杂肿瘤患者开辟生命新通路。此次腹膜外微创 “拆弹” 的成功,不仅是一例疑难病例的突破,更是微创外科向 “精准化、功能化” 发展的生动实践。
门诊信息
徐丹枫 主任医师
周二、周五上午(总院)
邵远 主任医师
周四下午(总院)
周三上午(嘉定院区)
潘隽玮 副主任医师
周一下午:专家门诊(嘉定院区)
周四上午:专家门诊(嘉定院区)
肾盂、输尿管、膀胱癌专病门诊
周一上午(嘉定院区)
素 材丨泌尿外科
文 编丨温兆琦
