大众卫生报·新湖南客户端1月23日讯(通讯员 周红建 李静)历经 14 天与死神的赛跑,宜章县人民医院因罕见鹦鹉热引发重症“白肺” 的李阿姨,终于在1月7日成功脱离呼吸机,并于1月9日平稳转入专科病房,重症医学团队和家属悬着的心也随之放了下来。
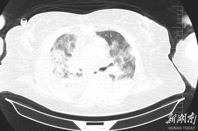
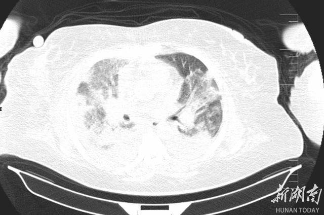
2025 年 12 月 24 日,李阿姨被紧急送入郴州市宜章县人民医院 ICU,她高烧不退、呼吸困难,CT片子上双肺几乎全白了 —— 这是重症肺炎最凶险的信号之一。更麻烦的是,她本身还有肝硬化腹水、十二指肠溃疡大出血等一堆老毛病,所有问题撞在一起,性命危在旦夕。面对如此凶险的病情,救治刻不容缓,ICU 团队火速完成检查并召集多学科会诊,病因被精准锁定:鹦鹉热衣原体感染。
鹦鹉热(鸟热)是一种由鹦鹉热衣原体引起的传染病,鸟类(如鹦鹉、鸽子、家禽等)是主要传染源。人通常通过吸入带菌的羽毛粉尘、粪便尘埃或直接接触病鸟而感染,人际传播极少见。其出现的症状可轻可重,从像感冒到重症肺炎。典型表现有高热、剧烈头痛、干咳等,严重者可迅速出现“白肺”、呼吸衰竭。
这是一种通过鸟类传播的相对罕见的病原体,也正是它导致了这场来势汹汹的重症肺炎。

李阿姨呼吸急剧恶化,已依赖呼吸机维持生命,但这只是第一步。严重的感染让她体内环境乱成一团,出现了重度酸中毒,加上她本就严重贫血,血氧一度暴跌至50%多,心跳和呼吸像风中的蜡烛一样微弱。
团队没有慌乱。他们一边为李阿姨进行纤支镜肺部灌洗以明确感染,给予高侧位通气;一边紧急输血纠正贫血,并用血液透析技术稳住她体内濒临崩溃的内环境。每一步都精准而果断,硬是把李阿姨从悬崖边暂时拉了回来。


然而,在呼吸机支持下的几天里,病情反复,高昂的费用让家属倍感压力,甚至萌生退意。“我们一起努力,还有希望!”急诊重症医学中心主任吴志远这句朴实的鼓励,给了家属莫大的支撑,他们选择继续信任医护人员。
治疗在全方位精细化推进:规范的镇静镇痛减轻她的痛苦和耗氧;通过鼻饲精心制定营养支持,帮她增强抵抗力;通过超声每日评估心肺功能,CRRT精细化液体管理,密切监测呼吸力学变化,为脱机拔管创造最佳条件,让本已达到做ECMO标准的李阿姨氧合指数逐渐趋于稳定。当她清醒时,医护人员总在床旁鼓励:“阿姨,加油,我们在陪着您呢!”




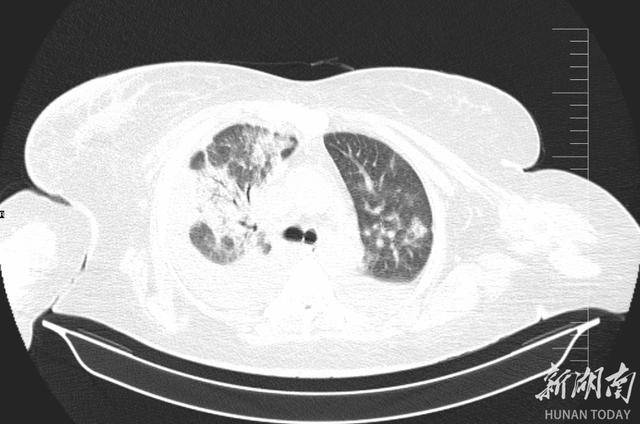
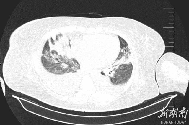
肺部CT可见,重症肺炎较之前大部分被吸收
1月7日,在严密的评估后,气管导管被顺利拔出,李阿姨实现了自主呼吸!1月9日,她病情平稳,成功转入专科病房,14天的惊心动魄迎来了阶段性胜利。这场胜利,是快速诊断、多学科紧密协作的结果,更是医护人员永不放弃的信念和对患者身心全面关怀的体现。
来源:大众卫生报·客户端