大众卫生报·新湖南客户端1月11日讯(通讯员 杨煜国)近日,娄底市第三人民医院介入导管中心开展了该院首例药物涂层冠脉球囊扩张成形术治疗冠心病,取得圆满成功。这不仅仅是一例新技术的成功应用,更是该院在冠心病治疗领域,向着更精准、更微创、更优化的目标迈出的坚实一步。它标志着娄底市第三人民医院心内科介入团队在冠脉介入治疗“无植入”或“少植入”理念的实践上,开启了新的篇章,为众多冠心病患者,特别是支架内再狭窄、小血管病变及分叉病变等复杂情况的患者,带来了全新的、更优的治疗选择。

什么是药物球囊
药物球囊是融合了球囊扩张与局部药物释放的介入器械,其表面涂有抗血管再狭窄的药物(如紫杉醇等)。治疗时,医生将药物球囊通过微创穿刺送至血管狭窄处,充气扩张球囊撑开狭窄血管的同时,球囊表面的药物会快速、均匀地渗透到血管壁的病变组织中,完成给药后球囊便会被撤出,血管内无任何植入物残留,真正实现“介入治疗,无物留存”。
“无植入”的核心优势
1. 规避支架相关问题:传统支架植入会在血管内留下金属异物,可能引发慢性炎症、支架内再狭窄或血栓风险,而药物球囊无异物残留,大幅减少了这类问题,血管内皮可更自然地修复。
2. 适配特殊病变场景:像影像中这类局限性的血管狭窄,或是支架内再狭窄、小血管病变、分叉病变等情况,药物球囊能精准处理病变部位,避免了复杂病变下支架植入的局限性,也降低了多支架叠加的风险。
3. 简化术后抗栓治疗:由于无支架留存,部分高出血风险患者可缩短抗血小板药物的服用时长,减少出血并发症的发生概率,兼顾治疗效果与安全性。
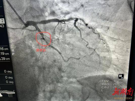
从影像看治疗效果:
“打通河道”且不留痕迹
此次治疗的造影对比极具说服力:术前狭窄处血管血流受阻,心肌供血不足,患者可能出现心绞痛等症状;药物球囊扩张后,狭窄处血管恢复正常管腔形态,血流顺畅通过,心肌缺血问题得到解决。更重要的是,血管内没有支架的“占位”,保留了血管的生理结构,为未来可能的再次治疗预留了更多空间。


药物球囊的适用与未来
药物球囊并非适用于所有冠心病患者,对于严重钙化、弥漫性长病变等情况,传统支架或外科手术仍为更优选择。但在其适配的病变范围内,它凭借“无植入”的特性,成为冠心病微创治疗的重要补充。随着器械技术的不断升级,药物球囊的适应症还在逐步拓展,为更多患者提供了兼顾疗效与生活质量的治疗方案。
从“植入支架”到“无植入治疗”,药物球囊的应用体现了冠心病介入治疗向“更微创、更生理”的发展趋势,也让患者在摆脱血管狭窄困扰的同时,减少了体内异物带来的潜在风险,为心脏血管的“河道疏通”开辟了新路径。
来源:大众卫生报·客户端