近期,“浙医在线”公众号发布文章称,40岁出头的患者王先生因孩子教育问题与妻子发生争执,致血管撕裂近40厘米被紧急送医。该文迅速引发网友关注,部分网友质疑,一次争执何以能导致血管撕裂?也有网友关心,主动脉撕裂后,患者王先生目前情况如何?
就此,红星新闻记者联系上参与王先生救治工作的浙江省人民医院血管外科副主任卢惟钦。他告诉红星新闻,王先生此前有高血压基础疾病,但日常控制效果不佳。加之事发当晚聚餐饮酒,回家后夫妇争执情绪激动,才诱发了本次主动脉夹层病症。后经医院约1小时手术救治,王先生已于近期平安出院。

▲医院供图
卢惟钦解释,主动脉夹层被称“血管炸弹”,严重或致瞬间休克,高血压疾病患者为高发群体,且血管撕裂40厘米,在实际病例中并不鲜见。卢惟钦同时提到,该疾病虽来势汹汹,但只要及时送医,治愈率高达99%。
夫妻因孩子教育起争执
丈夫主动脉撕裂近40厘米
浙江省人民医院血管外科副主任卢惟钦告诉红星新闻,事发于2025年12月底,当晚王先生和朋友在外饮酒聚餐,回家后发现妻子正责备孩子。询问原因才得知,妻子是因孩子最近一次测验成绩不及预期才动怒。
卢惟钦回忆,与家属沟通后得知,王先生当时因不认可妻子训斥孩子的做法,和妻子发生争执,一时间情绪激动。突然,王先生感到胸前撕裂性疼痛,伴有左脚麻木等症状。家人见状紧急拨打120将他送至当地医院急诊。
经当地医院急诊检查发现,王先生血压飙升超过200mmHg,主动脉CTA提示主动脉夹层。情况危急,当地医院的医生也立刻建议转院处理。随后,王先生被紧急送往浙江省人民医院做进一步治疗。
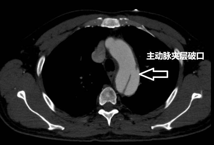
“进一步检查发现,患者王先生当时的主动脉从左锁骨下动脉一路撕裂至左髂动脉,累计长度已近40厘米,影响到多器官供血血管。”卢惟钦说。

▲患者术前主动脉夹层检查影像 受访医生供图
为何一场夫妻间的小争执会诱发近40厘米的动脉撕裂?卢惟钦告诉红星新闻,这是因为王先生此前有高血压基础疾病,平日里生活压力大,作息不规律,也不按时服用降压药,因此血压日常控制效果并不理想。事发当晚,王先生在外聚餐时有饮酒,回家后又与妻子发生争执致情绪激动,多重因素叠加,诱发了王先生主动脉夹层疾病。
王先生被送往浙江省人民医院后,因发现有动脉撕裂迹象,该院副院长蒋劲松教授与卢惟钦立即决定启动绿色通道,迅速为王先生完善术前评估,做好急诊手术准备。
卢惟钦称,王先生当时出现了主动脉夹层问题,如果不及时救治,严重可致患者瞬间休克。
参与救治医生:
主动脉夹层被称为“血管炸弹”
严重或致瞬间休克
主动脉是人体最粗大且直接连接心脏的血管,压力极高。而所谓主动脉夹层,实际上是一种常见的心血管疾病,但危险性极高。卢惟钦告诉红星新闻:“主动脉夹层即血管壁内膜撕裂,血液冲入中层形成‘真假两腔’,一旦外膜破裂会引发大出血,死亡率极高。”
卢惟钦介绍,主动脉夹层是一种极为危险的心血管疾病,通常又被称为“血管炸弹”。他用通俗的话向记者解释,人的血管实际分为三层,当血压过高时,就可能导致血管中薄弱的一层破损,而血液一旦涌入破损的一层,就会与未破损血管层形成夹层,也即主动脉夹层。
而因主动脉与心脏直接连接,如果主动脉夹层情况严重,血液能在几秒钟内流出血管,一旦导致血管破裂,就会像炸弹一样瞬间让人陷入休克。
对于患者王先生主动脉撕裂近40厘米的状况,卢惟钦称,“并不是非常罕见。”他告诉红星新闻,该病症虽来势汹汹,但只要能及时送医,其实手术难度并不大,救治成功率也在99%以上。
卢惟钦也向记者透露,患者王先生在送医时意识清醒,在控制住血压后,医院又对其进行了约1小时的手术,目前患者已平安出院。
中年男性为高发人群
抽烟、喝酒、熬夜、久坐都是诱因
红星新闻记者搜索发现,患者突发主动脉夹层的问题并不鲜见。如2025年10月,一名50岁的网约车司机,在结束连续4天跑车工作,又到麻将桌上坐了2小时。其间,突觉胸口剧痛,喘不过气来。后经医院检查,结果提示为“急性主动脉夹层”并已有血管“破裂”,后经抢救脱离生命危险。
2025年4月,一名27岁患者在加班时突发剧烈腹痛,后经同事紧急送医救治。据报道,该患者长期加班熬夜、饮食作息不规律,患有重度肥胖和高血压却未重视,入院时血压高达210/90mmHg。经CT扫描检查,这名患者被确诊为主动脉夹层,病情凶险。四小时手术后,患者血压控制理想。
“中年男性是主动脉夹层的高发人群。”卢惟钦告诉红星新闻,如患者王先生日常生活和工作压力较大,自身有高血压慢性疾病,平时未予重视,没有按时服药,加之喝酒等不良生活习惯损伤血管,那么血管破裂风险就会变高。
卢惟钦进一步补充称,如抽烟、喝酒、熬夜、久坐等不良生活习惯,也都可能损伤血管。此外,激烈的情绪波动、高血压患者不按时服药等,也会导致血压异常波动,进而诱发主动脉夹层。
因此,卢惟钦提醒,已至隆冬时节,加之年底聚会增多,低温、饮酒等都可能使血压骤升,诱发血管疾病。“年节期间也应保持健康生活习惯,均衡饮食,少油少盐,少抽烟喝酒,少熬夜久坐;保持情绪平稳,避免情绪大起大落;定期体检,若发现指标异常,及时就医。”
红星新闻记者 杨雨奇 实习生 何雯文
编辑 张莉
审核 官莉