“我还以为我只是中年发福了”
今年52岁的王女士(化名)腹部隆起
看着就像要临盆的产妇
近日到医院检查
她才发现
10年前查出的子宫肌瘤
已经悄悄长到近30厘米
10年前,王女士体检就查出子宫肌瘤,当时大小约4厘米,像个小土豆。多年来,因没感觉明显不适,她便没在意,十年间从未复查过。
直到最近,因严重便秘影响生活,她到医院检查,才发现子宫肌瘤已经悄悄长到近30厘米,近乎一个篮球那么大!

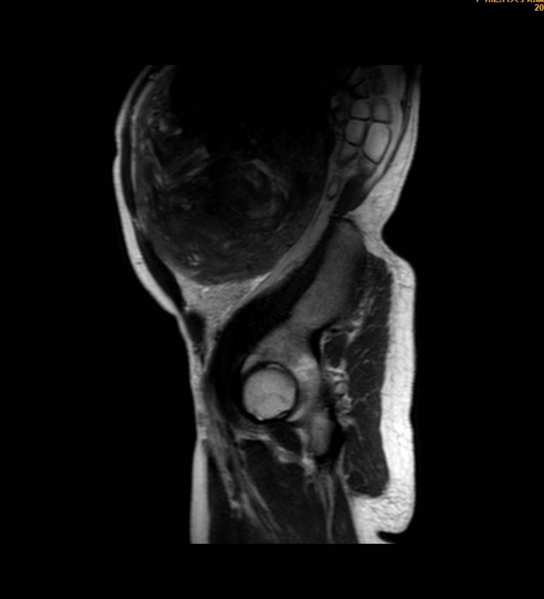
王女士术前影像检查
若再放任肌瘤继续生长,可能会出现因经量增多,经期延长而严重贫血;也有可能出现肿瘤压迫症状如尿频、便秘等,最重要的是有恶变的风险。

医院团队为王女士实施了开腹全子宫切除术,切下来的子宫约莫有一个“篮球”那么大,重达4公斤!
术后,王女士恢复良好,第四天就顺利出院了。
医生提醒:
肌瘤不能“养”,定期复查是关键!
“这是一个非常典型的病例,也给所有女性提了个醒:子宫肌瘤千万不要‘养’,定期复查很重要!”手术主刀医生、广医三院妇科副主任医师何泓提醒:很多肌瘤在较小时就可以通过微创手术解决,创伤小、恢复快,不要等到出现便秘、尿频、腹痛难忍甚至腹部膨隆如孕时才就医。
何泓解释说,虽然绝大多数肌瘤是良性的,但仍有一定比例的肌瘤有恶变风险(称为肉瘤),长期不复查,可能埋下“定时炸弹”。另外,随着肌瘤的增大,手术难度也会增高,出血、感染和损伤周围器官的风险也可能随之增大。
总之,女性子宫肌瘤无症状不等于就“安全”了。即使没有任何不适,发现肌瘤后也应听从医生建议,每6-12个月做一次B超复查,监测它的生长速度和大小变化。一旦出现月经量增多、经期延长、下腹坠胀、尿频、便秘等症状,应立即就医。
医学指导/广医三院妇科副主任医师何泓
文/广州日报新花城记者:翁淑贤 通讯员:白恬、张迅恺
来源:广州日报