她已经肚子疼、恶心呕吐一个月了,一直以为只是因为最近压力太大。
直到,医生在她的胃里发现一大块“石头”,停掉了让她成功减重18千克的网红神药,并开出处方:12小时内喝下3升无糖可乐。

医嘱——大量喝可乐 | giphy
肚子疼,最可能的原因有两种
这位63岁女性的肚子疼,位置在上腹部和右侧腹部,并蔓延到背部,是烧灼一样的感觉,按压右侧腹部会加重疼痛。
最近一个月,她胃口不好,觉得恶心,还经常呕吐。到急诊看病之前,她自己吃过一些抑制胃酸分泌的药,但没什么效果。
过去一年时间,她的体重从93千克(身高1.7米,肥胖)减轻到75千克,最近一个月减轻速度加快。而一年前,正是她开始使用司美格鲁肽的时间点,用药是为了控制2型糖尿病和体重。
除了这两个问题,她还确诊过很多疾病,包括胃食管反流病、高血压、慢性肾脏病、慢性阻塞性肺疾病、腰背痛、焦虑和抑郁等,目前每天都吃的药物共有16种。
医生一一排查,把她腹痛、恶心呕吐的最可能原因集中到了两种疾病上。一种是消化性溃疡,因为患者近一周为缓解腰背痛吃了24片布洛芬。另一种是胃石,因为患者的长期用药中有两种会增加胃石形成的风险。
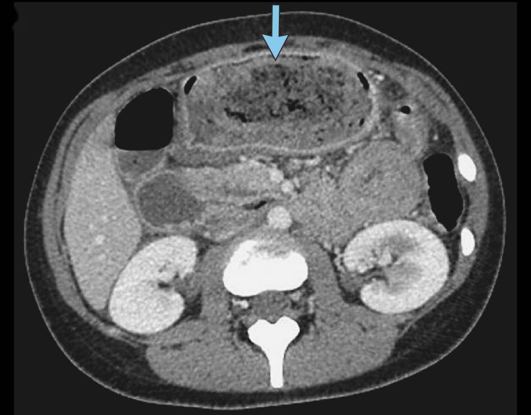
接下来的胃镜检查给出了答案,医生在她的胃里看到了一大块胃石,诊断胃石症。

胃镜检查中看到的胃石 | 参考文献[1]
胃里长结石的几率低,但不为零
肾结石、胆囊结石,大家都听说过,胃里也能长出坚硬的结石?
被叫做结石的,都是空心器官里出现的、本来不该有的硬团块。胃石(Gastric Bezoars),也就是没有被消化的物质在胃里凝集形成的团块。通常,胃石不如其他结石坚硬,但韧性比较强。
胃石形成,主要是因为难消化和排不出。难消化的,包括柿子、山楂、某些药物和毛发等异物。排不出是指胃肠功能不足,难以把胃内物质碾碎推到肠道里,原因可能在胃肠、糖尿病、自主神经病变或者影响胃动力的药物(如三环类抗抑郁药,以及本患者使用的司美格鲁肽、缓解腰背痛的阿片类强效镇痛药)。
满足这些条件并形成胃石的情况不常见,在所有做胃镜的患者中,发现胃石的几率低于0.5%。
胃石形成后,可以引起腹痛、恶心及呕吐的症状,如果出现溃疡、出血、梗阻等并发症,还可能有血便、呕血等表现。有时,胃石患者没有症状,是做胃镜检查时偶然发现的。



左滑查看更多图片:胃石示意图、手术中看到的毛发性胃石、CT检查中的胃石 | 参考文献[1]
喝下无糖可乐,胃石消失了
看到她的胃石后,医生决定先尝试用可乐溶解,剂量是12小时内喝下3升。由于患者合并糖尿病,医生选择了无糖可乐。又因为患者不喜欢碳酸饮料,喝不下,医嘱改成了每天喝1.5升。
可乐,平时医生常劝别喝,但在治疗胃石上,喝可乐是一种相对性价比高、风险低、痛苦少的方法。溶解胃石的机制,可能是可乐里碳酸和磷酸的酸化作用、碳酸氢钠的黏液溶解作用、二氧化碳以气泡形式释放时对结石的穿透作用,其他碳酸饮料也有溶解胃石的效果,但可乐是最常用的溶石饮料。
不过,可乐只能溶解食物形成的胃石,对毛发性胃石不起作用。而且,有时可乐溶石效果不足,仍然需要通过胃镜或开放式手术清除胃石。还有一种风险是,胃石被溶解成小块排出,堵塞在肠道,造成肠梗阻。
幸运的是,这位患者喝到第二天,腹部突然出现牵拉的感觉,然后不舒服迅速减轻了。复查胃镜时,胃石已经消失了。

胃石消失了 | 参考文献[1]
患者入院后,司美格鲁肽被停用,她的腰背痛继续依靠阿片类药物控制,直至出院。
出院3个月时,患者告诉医生,她没有再出现腹部不适,食欲增强,体重从出院时的74公斤增加到84公斤,糖化血红蛋白由住院前的6.3%升高至6.6%。
网红药司美格鲁肽还能用吗?
这位患者使用的司美格鲁肽,一度因为“减肥神药”的名号成为网红,药厂产能拉满仍然一针难求。不过,有效治疗2型糖尿病和减轻体重的同时,这类药物也有可能引起不良反应。
司美格鲁肽属于胰高血糖素样肽-1(GLP-1)受体激动剂,同属这类药物的还有利拉鲁肽和贝那鲁肽等。
正常人血糖偏高时,体内的GLP-1释放增加,它升高胰岛素、降低胰高血糖素,从而降低血糖。另外,GLP-1还能延缓胃排空,在大脑中减少“饿”的信号,降低食欲。
GLP-1 受体激动剂药物模拟了天然GLP-1的这些作用,可以帮助控制血糖和体重,但同时也可能引起不良反应:
最常见的不良反应包括恶心、腹泻、呕吐、消化不良、食欲下降和便秘,这些可以通过从低剂量开始用药并逐渐增加剂量来减轻。
不太常见的有胃排空延迟,可能导致胃石形成。
罕见的包括胰腺炎、胆囊疾病和肠梗阻。
另外,患者停用GLP-1 受体激动剂后,可能出现体重增加和血糖控制恶化。
考虑到这些不良反应,“网红神药”还值得用吗?如果在医生指导下,用这类药物把血糖和体重都控制好了,并因此明显降低了心脑血管疾病的风险,也没有出现严重的药物不良反应,自然是值得的。可如果是为了减肥擅自使用,或者用药时出了大问题,就不一定值得了。

使用药物是否值得 | 图虫创意
任何药物的使用,都是一次利弊之间的慎重权衡。当一种药物破圈成为网红时,背后潜在的不良反应常常被光环遮蔽。
始终依托专业医生对获益和风险的评估,了解用药注意事项,感到不适及时就医,可以让每一次用药更加“值得”。
参考文献
[2]胡珊, 胡晓. 植物性胃结石的治疗研究进展. 中华消化内镜杂志. 2025;42(5):411-414.
作者:代天医
编辑:odette
封面图来源:图虫创意
如有需要请联系sns@guokr.com