肚子上鼓包消失,肚子也不胀了,时隔一年终于能拔掉鼻饲管自己吃饭,感觉浑身都有劲了!没想到消化科的专家们用这么神奇的办法解决了我吃饭的问题!
11月10日,郎先生出院前满怀激动地对北医三院消化科团队表示感谢。郎先生的感谢并非客套,这背后,是北医三院消化科团队成功完成的医院首例超声内镜引导下胃空肠吻合术(EUS-GE)。
超声内镜引导下胃空肠吻合术
EUS-GE
EUS-GE是一项国际前沿的内镜介入技术,其核心理念是利用超声内镜的“透视”能力,绕开被肿瘤堵塞的胃出口,在胃和邻近的空肠之间直接建立一个全新的“食物旁路”。
EUS-GE示意图
与传统外科胃空肠手术相比,这一技术相当于在体内完成了一台微型的胃空肠吻合手术,体表无切口,创伤极小,患者术后恢复快,几乎不影响后续抗肿瘤治疗,也不再需要空肠营养管鼻饲饮食,极大地改善了患者的生存质量。
郎先生因患有淋巴瘤,导致胃出口严重梗阻,出现腹胀,无法吃饭,只能通过鼻饲管进食。由于需要反复更换小肠营养管,给郎先生的生活造成了非常大的麻烦,郎先生苦不堪言。
为了解决患者的困扰,在医院大力支持下,消化科胆胰专业团队决定采用EUS-GE这一国际前沿技术。EUS-GE技术对操作者要求极高,为此,消化科团队开展讨论,做了周密的术前准备,于11月4日开展手术。
手术当天上午,消化科与麻醉科通力合作,消化科常虹主任医师、姚炜主任医师和张耀朋主治医师密切配合,在麻醉科鲍林主治医师的保驾护航下,将超声内镜送入郎先生胃内。
在超声引导下,团队操作内镜精准定位到紧贴胃壁的空肠,通过特制的穿刺针,从胃内直接穿刺进入空肠,随后“释放”核心器械——一种特殊的“双蘑菇头”样金属支架。

术中成功放置支架
支架的两端如同伞面一样,在胃腔和空肠腔内打开,瞬间将胃壁和空肠壁紧紧拉拢在一起,一个全新的旁路就此建立。

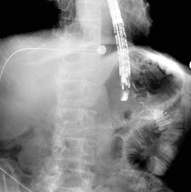
术中影像
整个手术过程一气呵成,用时不到一小时,术后,患者返回病房,未出现并发症。

团队为患者手术
术后当日,郎先生的腹胀感完全好转,腹部包块消失。经过医护团队的悉心照料,郎先生后续顺利恢复了经口进流食、半流食,精神面貌更是焕然一新。11月10日,郎先生顺利出院。
EUS-GE这项尖端技术的成功实施,标志着北医三院的内镜微创治疗水平再登新高。EUS-GE如同一把钥匙,为患有恶性肿瘤(如淋巴瘤、胰腺癌、胃癌等)和良性狭窄导致胃流出道梗阻而无法进食的患者,打开了一条全新的、微创的生命通路。
作为国家临床重点专科,北医三院消化科将持续推动内镜技术创新,让内镜不仅成为“诊断的眼睛”,更是“治疗的巧手”,为更多患者提供更精准、更微创、更人性化的医疗服务。
文 | 消化科 胡南
审核 | 消化科、医务处
编辑 | 宣传中心 张轩烨
书籍推荐