今年34岁的图某,从内蒙古辗转多地求医,十余年来一直被“反复发作的头痛、恶心呕吐所困扰”。五年前,情况恶化,他开始出现“意识丧失,四肢抽动”,当地医院检查发现元凶是“脑囊虫病引发癫痫”,虽然服用了药物阿苯达唑治疗,但近一年来还是出现了头晕、恶心和记忆力减退等症状。
2025年,他来到北京航空总医院,神经外四科肖庆教授团队为他实施了一项先进的微创手术——软性神经内镜技术,终于取出了脑内的囊虫,解决了图某多年的痛苦。

01认识脑囊虫病
脑囊虫病是由猪肉绦虫的幼虫寄生于中枢神经系统引起的一种顽固性颅脑疾病,是我国中枢神经系统寄生虫感染中常见的一种。
当人食入猪肉绦虫虫卵后,卵在肠道内孵化成幼虫,随后穿过肠壁进入肠系膜小静脉,再通过体循环到达脑膜、脑实质以及脑室内。
肖庆教授解释,脑囊虫病可分为脑实质型、脑室型、蛛网膜型及脊髓型。患此病后,脑组织及大脑中枢损伤严重,可能导致头疼、浑身无力、肢体运动障碍,严重者还会继发癫痫,视物不清,甚至失明等。

02诊疗挑战:脑囊虫病为何棘手
脑囊虫病的治疗面临多重挑战,尤其是当寄生虫进入脑室系统时。脑室囊虫病可导致脑脊液循环通路堵塞,而脑池囊虫病可引起蛛网膜下腔粘连、闭塞和蛛网膜增生,影响脑脊液循环与吸收,这些情况均可继发脑积水。
传统的治疗方法包括药物驱虫和开颅手术,但都有明显局限性。脑囊虫病患者的脑脊液因含有大量炎性细胞,蛋白增高,若行脑室-腹腔分流术,术后易发生分流管堵塞而导致手术失败。
此外,单纯药物治疗对于脑室型囊虫病效果有限,因为死亡的虫体仍然可能阻塞脑脊液循环通路,继续导致脑积水。

03软性神经内镜:微创治疗的新选择
肖庆教授介绍,采用神经内镜手术可取出脑室内的囊泡,打通或重建脑脊液循环通路,且不放置分流管,从而避免了分流术后出现的感染、堵塞、引流过度等并发症。
软性神经内镜是一种先进的微创手术工具,与传统的硬性内镜相比,它具有更好的柔韧性和灵活性,能够到达脑室系统的更深部位,对脑组织损伤更小。
肖庆教授团队应用软性神经内镜,通过额头部位的微小钻孔,就能进入脑室系统,甚至穿过狭窄的中脑导水管,直接到达第四脑室及椎管进行手术操作。

04病例分析:十年病痛,一朝解除
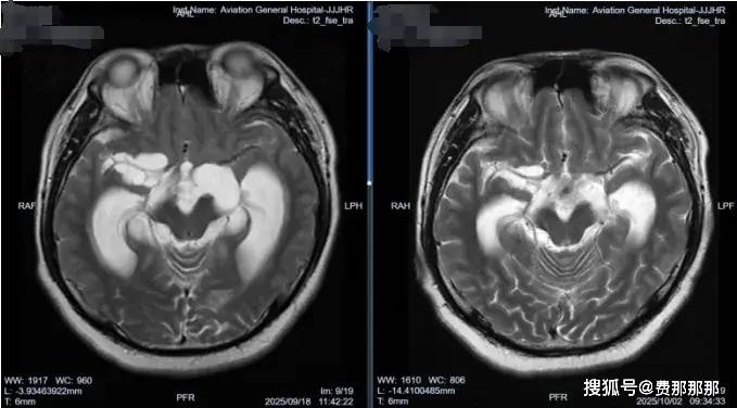
回顾文章开头提到的内蒙古患者图某的情况,他入院后,肖庆教授团队为他做了详细的检查。眼科会诊发现他已有视野缺损和视神经乳突水肿,这表明他的颅内高压已经持续了一段时间,并对视神经造成了损害。他的头颅CT/MR检查显示多发囊性占位,视交叉受压改变,结合他的流行病学史,可以明确脑囊虫病诊断。
肖庆教授团队在该领域经验丰富,其“经额部颅骨钻孔一次性摘除第四脑室及基底池囊虫”等手术视频被世界神经外科联盟(WFNS)等国际权威机构收录为教学案例。早在21世纪初,团队便开拓了多项微创技术解决复杂颅脑疾病。基于此深厚积淀,团队为图某制定了周密方案,并于既定手术日成功实施手术。
术中内镜下可见右侧脑室壁粗糙,广泛炎性黄白色突起肉芽增生——这是既往有过颅内感染的典型表现。肖庆教授更加坚定了之前的判断,进行第三脑室底造瘘,并在基底池内取出数枚囊虫占位,大者外观达2*2cm;同时探查发现基底池内部有多发黄色网状粘连,基底动脉搏动差。
术后,图某持续脑室长程外引流置换脑脊液,并接受了预防感染、杀虫、营养支持等对症治疗。经过精心的护理和治疗,他恢复顺利,最终在术后三周去除了外引流管路。



05综合治疗:手术与药物相辅相成
肖庆教授强调,脑囊虫病的治疗需要综合方案,手术只是其中的一个重要环节。对于脑室内的囊虫占位,软性神经内镜手术可以迅速解决梗阻问题;而对于脑实质的囊虫,后期还需要配合药物进行阶段性的杀虫治疗。
研究表明,吡喹酮、阿苯达唑联合用药优于单剂用药,但也要根据患者个体的实际耐受情况针对性治疗;接受抗囊治疗时间越早效果越好;应用脱水剂、皮质激素组和手术组其有效率明显高于非应用组,后遗症发生率亦大大降低。
肖庆教授提醒,为图某这类异地就医的患者考虑,他们会暂时保留皮下引流管路,一旦再有颅高压等危急情况,当地医院也可随时启用这套外引流系统,不致于措手不及。

06预防与警惕
肖庆教授特别提醒大家,平时生活中要警惕囊虫病的危害,注意饮食卫生,避免食用未经煮熟的猪肉和蔬菜,以保护自己和家人的健康。这位内蒙古患者的康复之旅,充满了艰辛和挑战。家人对他的支持和关爱,是他在病痛中坚持下去的动力。但医生们的精湛医术和专业精神,是为他赢得新生的关键。
软性神经内镜技术的应用,使脑囊虫病的治疗从传统的开颅手术或单纯的药物治疗,迈入了精准、微创的时代。肖庆教授指出,采用神经内镜手术可取出脑室内的囊泡,打通或重建脑脊液循环通路。更为重要的是,这种方法避免了分流管可能带来的堵塞和感染问题,为患者提供了更为安全有效的治疗选择。