当谈到女性股骨头坏死,不得不提的就是那些讨厌的早期症状。很多女性会遇到间歇性疼痛,这可不是来自于淋浴时踩到的玩具,而是让人心烦意乱的痛楚,通常集中在腹股沟和大腿内侧。疼痛有时候会像个调皮的小孩,活动时加重,静止后又好像消失了,但再次活动时又会出来捣乱。此外,患者常常感受到关节僵硬,这种紧绷感让本该轻松的步伐变得别扭得体无完肤。走路的时候,更是可能因为这些症状而不自觉地走出“鸭子步跛行”。这些症状或许开始时并不起眼,但把它们放在心上,可帮你更早地寻求专业帮助,从而避免症状恶化。
详解
女性在日常活动中若出现间歇性疼痛,尤以腹股沟、大腿内侧及膝内侧为主,就得引起注意了。这种疼痛常常在运动或长时间站立后加重,甚至是晚上休息时也可能感到不适。同时,除了疼痛外,还有可能伴随关节僵硬的感觉,使得行走时难免会有些笨拙,甚至出现“鸭子步跛行”。这里的“鸭子步”可不是舞步,而是脚尖抬起,脚跟着地的那种摇摆走姿。虽然这听起来有点滑稽,但实际对很多女性朋友来说,就是一场与生活质量抗争的斗争。尽早识别这些症状,可以让咱们更早地寻求帮助,避免症状恶化。

关注间歇性疼痛与关节不适
对于女性而言,股骨头坏死的早期症状常以间歇性疼痛的形式显现,尤其是在行走或站立后,这种疼痛往往会加重。很多患者会发现,疼痛不仅集中在关节,还会放射至腹股沟和大腿内侧,给日常活动带来困扰。随着时间推移,关节不适感逐渐加重,很多人甚至会感受到隐隐的僵硬感。在这种情况下,走路可能变得更加困难,有时甚至需要配合特殊的走路姿势,也就是人们常说的“鸭子步”跛行。这种状况不仅影响了活动能力,也给心理带来了负担,因此及早识别和处理这些症状显得尤为重要。

股骨头坏死中的“鸭子步”跛行探讨
当女性遭遇股骨头坏死时,走路的姿势可能会变得有趣而独特,特别是“鸭子步跛行”。这种跛行通常是因为疼痛和关节不适导致的。患者在走路时可能会无意识地采用这种方式,脚尖比正常位置稍微抬起,从而尽量减轻髋关节的负担。疼痛通常从臀部向下放射到大腿和膝盖,这种不适感让她们不得不调整走路的方式来应对。如同一只小鸭在水面上滑行,表面上看似风平浪静,但实际内心却是波涛汹涌。了解这种跛行的原因,能够帮助更多人重视早期症状,并及时寻求专业帮助,以免肆无忌惮地让病情恶化。
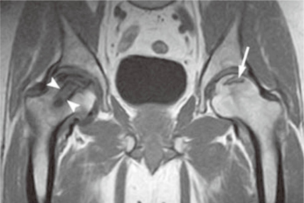
腹股沟与大腿内侧的疼痛来源分析
在女性股骨头坏死的早期,许多患者常常会感到腹股沟和大腿内侧的疼痛。这种疼痛可能起初只是一些轻微的不适,随着时间推移会逐渐加重。造成这种情况的主要原因是股骨头的血液供应不足,从而导致骨细胞缺氧和逐渐坏死。在走路或者进行活动时,这种疼痛往往会显著加剧,很多患者形容其为“像被针扎一样”的感觉。此外,其他情况如肌肉拉伤或髋关节炎也可能产生类似的不适感,使得正确判断尤为复杂。通过了解这些疼痛来源,可以帮助女性及时识别问题,并为后续诊断提供线索。整体来看,关注这些细微变化对于改善症状、及时就医至关重要。
关节僵硬现象及其对患者的影响
关节僵硬是女性股骨头坏死的一个常见症状,往往让患者在日常生活中感到乏力和难受。尤其在早晨醒来或长时间静止后,关节的活动性会显著降低。这种情况让人不仅难以弯腰、下蹲,还可能影响行走时的姿势。身体不再灵活,关节僵硬就像偷偷把我们锁在了一个狭小空间,影响正常活动。随之而来的是经历了“鸭子步”跛行,大家注意到不寻常的走路方式时,挺可能是由于这份僵硬感觉造成的。不仅生活质量下降,紧张和不安也会随之而来,因此对于这种症状的及时识别和专业治疗显得尤为重要。
识别女性股骨头坏死承受的负担
当女性面临股骨头坏死这道难题时,她们的生活质量往往会受到很大影响。首先,间歇性疼痛在日常活动中反复出现,让她们不得不时刻留意自己的活动强度。此外,伴随而来的关节僵硬也不是小事,这让原本想要自如走动的她们不得不忍受额外的不适。想象一下,和朋友出去玩,却因为疼痛不得不走“鸭子步跛行”,这样的局面很容易让人感到沮丧。更麻烦的是,疼痛的部位不仅限于髋关节,许多女性还会在腹股沟和大腿内侧感受到隐隐的不适。随着时间推移,这种负担不仅影响了她们的身体状态,也逐渐影响了心理健康。因此,提早识别这些问题并寻求医疗帮助显得尤为重要。
优化早期诊断以改善预后
及时识别女性股骨头坏死的症状对于改善患者的预后至关重要。首要步骤是关注那些早期的间歇性疼痛,特别是在行走或者活动后,疼痛会加重,常常放射到腹股沟和大腿内侧。此外,还需要注意到患者可能经历的关节僵硬,这不仅影响日常活动,也可能使行走变得更加困难。当步态变化成“鸭子步”跛行时,警报也应该响起。这些症状虽小,却给患者的生活带来了不小的负担。为了更好地诊断,建议定期进行相关检查,并与医生保持良好的沟通,以便于及时发现潜在问题并采取有效措施。
女性股骨头坏死的防治措施探讨
面对女性股骨头坏死,早期的防治措施至关重要。定期进行关节检查,及时发现潜在问题,特别是对于有长期使用激素、饮酒或髋关节受伤史的女性。保持适当的体重和增加运动量也是关键,避免过度负荷和剧烈运动。日常饮食上,应增加富含钙和维生素D的食物,以支持骨骼健康。此外,若出现间歇性疼痛或关节僵硬等症状,应尽早就医。医生可能建议物理治疗、药物干预或在必要时考虑手术,以减轻症状并改善生活质量。这些措施合力,有助于降低病情的进一步恶化风险。
结论
女性在面对股骨头坏死这个问题时,早期症状的识别显得至关重要。特别是间歇性疼痛、关节僵硬以及“鸭子步跛行”,都是警示信号,提示着我们可能正与这一类疾病较量。虽然这些症状在初期可能看起来不那么严重,但随着时间的推移,它们会逐渐影响生活质量。因此,及早关注这些症状并进行医疗咨询,可以帮助患者有效减轻 pain和不适感。记住,身体传递的信息不可忽视,聆听它们是健康生活的重要一环。
常见问题
女性股骨头坏死的早期症状有哪些?女性股骨头坏死的早期症状主要包括间歇性疼痛、关节僵硬和可能出现的“鸭子步跛行”。
疼痛主要集中在哪些部位?疼痛常见于腹股沟、大腿内侧以及膝内侧,往往在运动后或长时间站立时加重。
发生“鸭子步跛行”是什么原因?“鸭子步跛行”的产生通常与疼痛和关节僵硬有关,患者在为减轻不适而下意识调整步态。
如何判断是否需要就医?如果出现反复的间歇性疼痛、关节僵硬或步态变化,应尽早就医,以避免病情恶化。