通常我们所遇到的肠道炎症或肿瘤,往往会带来低回声增厚的肠壁,而今天我们所要见到的是“白色”高回声增厚肠壁,这您听说过吗?


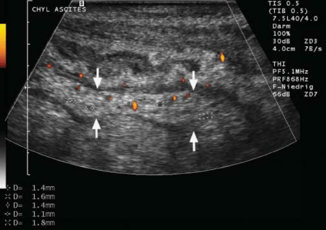
图1-2:分枝杆菌所致“白肠”。病例1,患者,37岁,男性,AIDS合并鸟胞内分枝杆菌感染。患者近两个月内体重减轻4公斤,伴有腹泻、脂肪泻和低热。超声显示其近端小肠黏膜层明显增厚呈高回声,厚达5mm,呈“白肠”表现,与深方低回声腰大肌(MU)形成鲜明对比。该病例还在肠系膜处发现低回声肿大淋巴结(直径约30mm),后经超声引导下穿刺活检,确诊为鸟胞内分枝杆菌感染。Hint:“白肠”(高回声增厚肠壁)合并淋巴结肿大,高度提示肠道淋巴回流障碍,与分枝杆菌感染导致肠壁淋巴管扩张和脂肪浸润有关。

图3:扩张淋巴管。同病例1,超声显示在“白肠”(箭头所示)内可见多处细线状无回声区(测量标记处),为扩张的淋巴管。Hint:淋巴管扩张的形成机制与分枝杆菌阻塞淋巴回流、肠壁内乳糜微粒淤积有关。



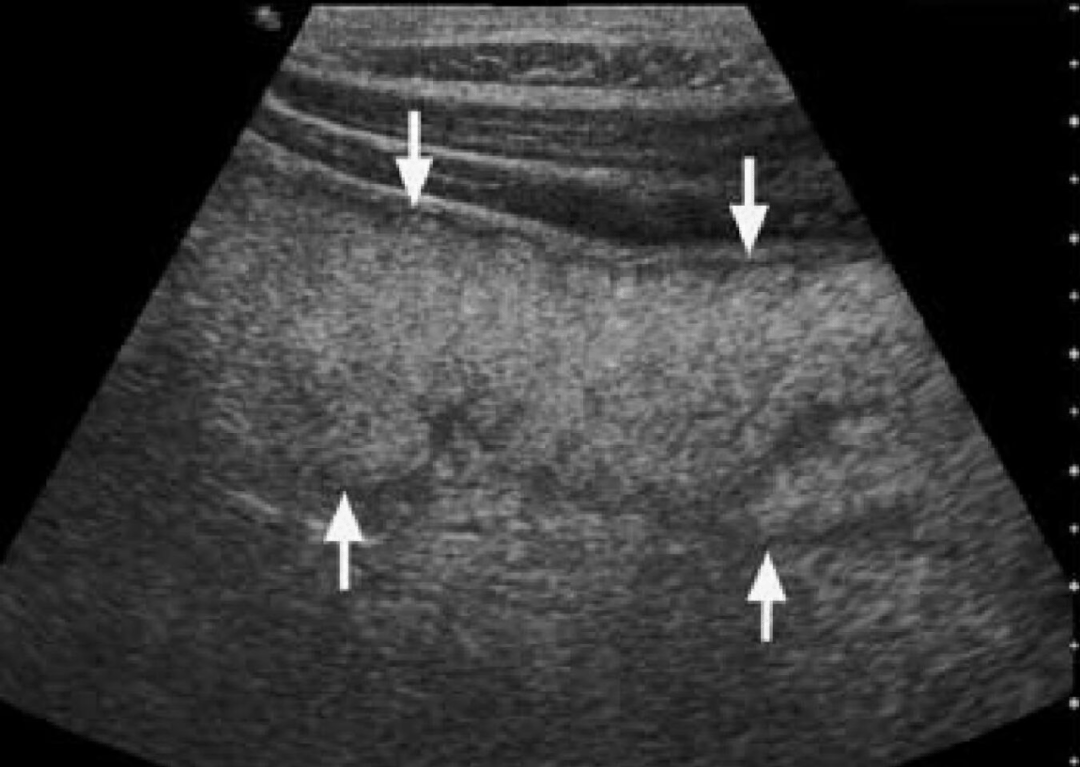
图4-6:Whipple病的“白肠、白淋巴结”。病例2,患者,男性,54岁,反复腹痛、腹泻、脂肪泻、关节痛。超声显示空肠段肠壁全层几乎呈弥漫性高回声(箭头所示),仅外层肌层呈薄层低回声带。同时,在肠系膜血管旁可见明显增大的高回声淋巴结(△所示),直径约20mm。该病例后经十二指肠活检确诊为Whipple病。Hint:这种“高回声肠壁-高回声淋巴结”的组合被认为是Whipple病的相对特征表现,而与之相应,Whipple病的病理特征即为肠黏膜及淋巴结内大量泡沫状巨噬细胞(含PAS阳性物质)浸润,这是产生高回声的基础之一。

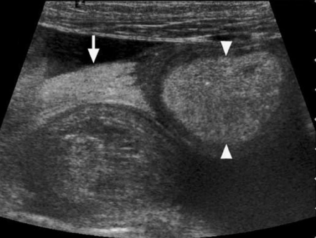
图7:“白肠”和肠系膜静脉血栓。病例3,患者,男性,31岁,AIDS合并鸟胞内分枝杆菌感染,临床表现为体重下降、腹泻和低热。声像图一侧可见多个融合的低回声肿大淋巴结,而另一侧(箭头所指处)可见“白肠”。CDFI显示融合的肿大淋巴结旁存在迂曲扩张的静脉侧支循环,这是肠系膜静脉血栓形成的间接征象之一。该病例后经淋巴结穿刺确诊同时存在感染和血栓。Hint:淋巴系统病变(分枝杆菌感染所致淋巴结肿大)与静脉系统(静脉血栓形成)之间存在千丝万缕的联系。


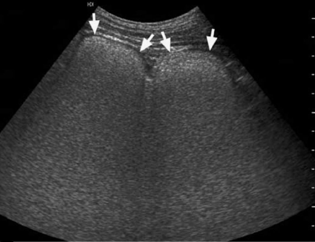
图8-9:肿瘤转移所致“白肠”。病例4,患者,女性,63岁,结肠癌广泛腹膜转移,恶病质。超声显示肠壁黏膜层呈节段性“白肠”高回声增厚(△所示),而黏膜下层则因水肿而呈低回声带,两者对比鲜明;此外,“白肠”周边可见腹腔积液和高回声增厚的肠系膜(箭头所示)。Hint:这种不规则“白肠”与肿瘤晚期肠壁受累(淋巴管阻塞、间质水肿和蛋白丢失等)所致复杂病理生理变化有关。

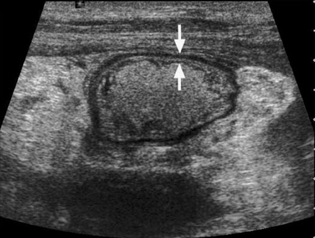
图10:鉴别诊断。箭头所示不是“白肠”喔!这只是高回声食糜,在凸阵探头下,容易被误认为“白肠”。

图11:鉴别诊断。在高频探头下,我们能很好的区分肠内容物和肠壁结构(箭头所示)。
“白肠”是多种淋巴引流障碍疾病的共同超声表现,其高回声特征反映淋巴回流障碍后肠壁黏膜层脂肪或蛋白质的淤积。正确的认识“白肠”有助于我们发现潜在的严重系统性疾病,但仍需密切结合临床、实验室及病理检查来最终完成精确诊断。
小伙伴们,您了解“白肠”了嘛?